Jsem odborníkem ve smyslu §2a Zákona č. 40/1995 Sb., o regulaci reklamy, ve znění pozdějších předpisů, čili jsem osobou oprávněnou léčivé přípravky, zdravotnické prostředky nebo diagnostické zdravotnické prostředky in vitro předepisovat nebo vydávat anebo poskytovat zdravotní služby, nebo jsem zaměstnancem poskytovatele zdravotních služeb.
Před vstupem do článku je nutné potvrdit seznámení se s oběma riziky.
101 kroků: In situ hybridizace (ISH)
Krok 89: Používat vysoce kvalitní řezy
Používáme tenké rovné řezy, které byly řádně vysušeny. Pro ISH experimenty upřednostňujeme pozitivně nabitá sklíčka.
Špatně přilnavé řezy se barví nerovnoměrně s variabilně obarveným pozadím.
Obr: Tento nekvalitní řez demonstruje plavání tkáně a zbarvení pozadí (HPV).
Krok 90: Zajistit optimální fixaci
Kvalitní fixace za použití známých a konzistentních podmínek (druh fixativa, pH, teplota, čas) vede k nejlepším výsledkům.
Nekonzistentní podmínky fixace mají za následek nedofixované či naopak přefixované tkáně. To vede k variabilitě výsledků a problémům spojeným s hledáním řešení.
Obr. A) ISH pro detekci mRNA lehkých řetězců kappa na dobře fixované tonsile ukazuje ostrou, silnou reakci. B) ISH pro detekci mRNA lehkých řetězců kappa na nedostatečně fixované tonsile ukazuje slabou reakci.
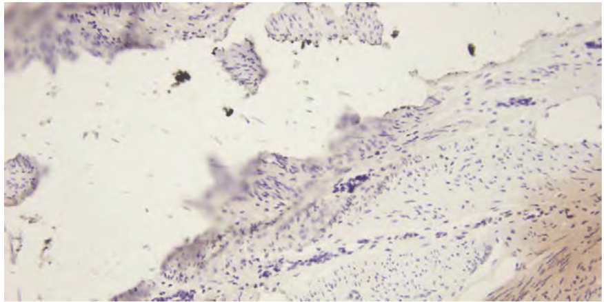
Krok 91: Zamezit problémům s přilnavostí řezů
Při napínání řezů v lázni se vyvarujeme použití adheziv na proteinové bázi (různá lepidla, škrob nebo želatina).
Taková adheziva mohou zablokovat povrch nabitého podložního sklíčka a zapříčinit špatnou přilnavost řezu. Následně mohou způsobit i zadržování ISH činidel pod nadzvednutými částmi tkáně. Výsledkem toho je nerovnoměrné barvení.
Obr: Nedostatečná adheze řezu a záhyby způsobily nestejnoměrné zbarvení (HPV).
Krok 92: Optimalizovat odstraňování parafínu a dávkování činidel
Pro dosažení konzistentních výsledků je třeba optimalizovat deparafinaci a hydrataci řezů a dávkování a rovnoměrnou distribuci činidel po povrchu tkáně.
Neúplné odstranění parafínu může vést ke vzniku špatně zbarvených oblastí v řezech. Také bubliny, které se utvoří na povrchu tkáně při odmaskování nebo při aplikaci činidel na tkáň, mohou způsobit problémy.
Obr: Bubliny, které se vytvořily během odmaskování při 95oC způsobily nestejnoměrné zbarvení (HPV).
Krok 93: Pečlivě vybírat hybridizační sondu
Při výběru hybridizační sondy klademe důraz zejména na citlivost a specifitu.
„Zajímá nás pouze cena produktu“
Obr: Stejné řezy tonsily byly hybridizovány dvěma různými sondami proti mRNA kappa lehkému řetězci za použití chromogenu BCIP/NBT. Řez A ukazuje silný signál, zatímco u řezu B je signál slabý a je obarveno i méně buněk.
Krok 94: Číst návody k sondám
Návod by měl být přiložen k sondě nebo by měl být volně ke stažení na internetu. Z návodu se dozvíte základní metodiku, která je pro tu kterou sondu nejvhodnější. Pečlivě zkontrolujte teplotu a čas hybridizace, které povedou k maximální specifické vazbě sondy.
„Nemáme přístup k návodům od sond, používáme jen jednu jedinou metodu.“
Obr: Oba řezy kondylomu byly hybridizovány na HPV pomocí identické DNA sondy, ale při různých hybridizačních podmínkách. Řez A ukazuje silné zbarvení, zatímco u řezu B je zbarvení nedostatečné.
Krok 95: Optimalizovat pretreatment
Pro jednotlivé sondy jsou stanoveny vhodné podmínky pro pretreatment (pH, pufry, enzym, teplota, čas). Ty závisí zejména na fixaci a typu tkáně.
Použití stejného enzymového pretreatmentu pro všechny sondy, může vést k chybným výsledkům.
Obr: Tento řez střeva byl hybridizován s pozitivní kontrolní sondou Poly d(T). Na řezu je vidět nadměrné trávení enzymem proteinasou K. Všimněte si ztráty cytoplazmatické struktury v žlazovém epitelu a nadměrného barvení pozadí.
Krok 96: Šetrně zacházet se vzorky
Šetrné zacházení s tkáněmi a rychlá fixace omezí ztrátu RNA působením endogenních RNáz.
Nesprávná manipulace se vzorky tkáně a opožděná fixace prohlubuje ztrátu RNA působením endogenních RNáz.
Obr: Slabé zbarvení kvůli degradaci jaderné RNA RNázami. Tonsila hybridizovaná s pozitivní kontrolní sondou Poly d(T).
Krok 97: Používat vhodný detekční systém
Vhodně zvolený, citlivý detekční a vizualizační systém s optimálními inkubačními kroky zajistí přesné specifické barvení s odpovídající citlivostí
Nedostatečná citlivost detekčního a vizualizačního systému může vést k velmi slabému nebo dokonce negativnímu barvení, a to i přesto, že je sonda vázána na cíl.
Obr: Slabé zbarvení v tomto řezu je způsobeno nedostatečnou citlivostí detekčního systému. ISH lehkého řetězce lambda s použitím nepolymerního detekčního systému.
Krok 98: Zamezit vypařování činidel
Použití správné techniky zabraňující odpařování sondy je zásadní pro správný průběh hybridizace. Dlouhé inkubační časy s sebou nesou riziko vyschnutí reagencie na řezu.
Pokud sonda nebo jiná činidla během inkubace vyschnou (obvykle na okrajích řezu), projeví se to jako výrazné nespecifické barvení.
Obr: Tento řez tonsily hybridizovaný sondou pro lehký řetězec kappa během post-hybridizačního promývání formamidovým pufrem vyschnul, což způsobilo nekonzistentní, nespecifické zbarvení.
Krok 99: Standardizovat promývání
Konzistentních výsledků je dosaženo, pokud jsou dodrženy podmínky promývání mezi jednotlivými kroky (čas, objem pufru a intenzita promývání).
Pokud jsou výsledky velmi variabilní v rámci jednoho barvícího cyklu se stejnou sondou i mezi cykly prováděnými v různých dnech, může to být způsobeno různými promývacími technikami, které používají různí laboranti.
Obr: Stejné řezy tonsily byly hybridizovány dvěma různými sondami proti mRNA kappa lehkému řetězci. Řez A vykazuje silné nespecifické pozadí, zatímco u řezu B bylo promývání provedeno správně a pozadí se neobarvilo.
Krok 100: Používat vhodnou kontrolu
Použití vhodných kontrol vede ke kvalitnímu ověření výsledků barvení. To zahrnuje použití pozitivní kontrolní tkáně a negativní kontrolou by měla být nespecifická sonda.
„Provádíme kontroly, pouze když se zdá, že naše metoda nefunguje. Kdybychom je udělali na každém skle, stálo by to moc peněz a stejně by se na ně nikdo nedíval."
Obr: Řez tonsily hybridizované pozitivní kontrolní sondou Poly d(T). Přesné zbarvení indikuje, že tkáň je dobře fixovaná a úseky RNA budou dobře uchovány.
Krok 101: Výsledky vyhodnocovat opatrně
Je nám dobře známo, co a kde máme hledat při vyhodnocování výsledků barvení vzorků i kontrol. Každý, kdo se zabývá ISH, by měl mít alespoň základní povědomí o technice a umět nalézt pozitivní barvení.
Spokojíme se s tvrzením, že uspokojivý výsledek barvení je takový, kde je cokoliv jakkoliv obarveno.
Obr: Toto je negativní kontrola. Řez tonsily prošel všemi kroky ISH, ale bez aplikace sondy. Na obrázku je vidět hemosiderin, který má přirozeně hnědou barvu, kterou navíc zintenzivňuje navázaný DAB. V tomto případě se o pozitivní barvení nejedná.