Jsem odborníkem ve smyslu §2a Zákona č. 40/1995 Sb., o regulaci reklamy, ve znění pozdějších předpisů, čili jsem osobou oprávněnou léčivé přípravky, zdravotnické prostředky nebo diagnostické zdravotnické prostředky in vitro předepisovat nebo vydávat anebo poskytovat zdravotní služby, nebo jsem zaměstnancem poskytovatele zdravotních služeb.
Před vstupem do článku je nutné potvrdit seznámení se s oběma riziky.
101 kroků: Rutinní barvení (hematoxylin/eosin)
Krok 52: Dodržovat časy barvení
Každý krok barvení trvá přesně stanovenou dobu.
„Když není dost času, některé kroky zkracujeme nebo vynecháváme.“ Po podobném jednání dochází k nekonzistentním výsledkům.
Obr: Tyto stejně silné řezy ze stejného bloku jsou manuálně obarvené přehledným barvením H&E, ale dvěma různými laboranty. I makroskopicky je zde patrný rozdíl v intenzitě barvení.
Krok 53: Pravidelně sledovat kvalitu
Kvalita barvení je pravidelně sledována používáním kontrolních řezů.
Kontroly nejsou pro barvení H&E vůbec používány. Není možné z nich zjistit, jestli je špatné barvení způsobeno špatnými činidly, chybným protokolem anebo nedostatečnou fixací.
Obr: Ledvina, obsahující množství eosinofilních buněk s dobře zachovalou jadernou strukturou, umožňující spolehlivé hodnocení kvality barvení H&E. Podobně se dá použít i placenta.
Krok 54: Standardizovat podmínky barvení
Počet ponoření skel v reagenciích v barvícím automatu, časy promývání a odkapávání skel jsou optimalizovány pro všechny kroky barvení.
Počet ponoření skel, časy promývání a odkapávání nejsou konzistentní. Rozpouštědla i činidla jsou rychle kontaminována, barvení není stejnoměrné.
Obr: Jedním z výhod používání automatického barvicího přístroje je to, že míchání, doba praní a odkapávání jsou stále stejné. Jakékoliv změny protokolu jsou kontrolovány, což zajišťuje dobré výsledky.
Krok 55: Zajistit řádnou deparafinaci
Optimalizovat způsob deparafinace.
Někdy se parafín nepodaří odstranit úplně, což vede k tvorbě neobarvených, příp. nerovnoměrně barvených oblastí v řezu.
Obr: Tento řez obarvený H&E zobrazuje v levé části velkou neobarvenou plochu a několik menších oblastí, které jsou buď částečně obarvené, nebo neobarvené. To je způsobeno nedodatečným odparafinováním řezu.
Krok 56: Pravidelně měnit reagencie
Rozpouštědla a barvicí lázně jsou pravidelně měněny v závislosti na počtu obarvených řezů.
Obměna rozpouštědel a barvicích činidel není pravidelná a jsou používány do té doby, dokud nedojde k poklesu kvality barvení.
Obr: Řez obarvený hematoxylinem špatné kvality s rozbředlými konturami řezu.
Krok 57: Řezy důkladně hydratovat
Řezy jsou před barvením hematoxylinem důkladně hydratovány.
Roztok hematoxylinu se rychle znehodnocuje alkoholem, příp. i zbytkovým xylenem, což vede k nerovnoměrnému obarvení řezu.
Obr: Nerovnoměrné barvení viditelné v epidermis bylo způsobeno zbytkovým xylenem a stopami parafínu přítomnými v řezu při barvení hematoxylinem.
Krok 58: Monitorovat kvalitu hematoxylinu
Barvicí schopnost hematoxylinu se vlivem postupného nařeďování roztoků či postupující oxidací časem snižují a je vhodné je monitorovat. Pokud změny pozorujeme téměř ze dne na den, je třeba hledat chybu právě v oxidaci, která mohla být uspíšena např. intenzivnějším provzdušňováním během barvení či teplotou okolí.
Barvení hematoxylinem ze dne na den mění svou intenzitu a nikdo se nesnaží to pochopit. Rychlost oxidace zvyšují například plocha kyvety (hladiny), zvýšené provzdušňování lázně intenzivním ponořováním skel nebo okolní teplota.
Obr: Dva řezy ze stejného kontrolního bloku. Byly barveny H&E s použitím identických protokolů na automatizovaném barvícím přístroji. Rozdíl mezi barveními je 7 dní. Makroskopicky je zřejmá variace úrovně barvení.
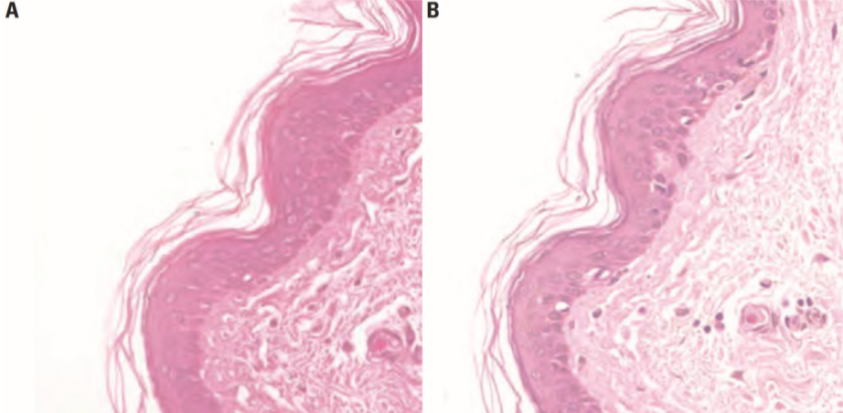
Krok 59: Zajistit úplné obarvení jádra – zmodrání
Při barvení hematoxylinem je standardně užívána pramenitá voda. Ta však není všude dostatečně alkalická, vlivem čehož by nemuselo dojít k úplnému obarvení jader, která by se pak nejevila jako modrá, ale jako růžová. Proto po barvení hematoxylinem se skla nechávají projít lázní Scottova činidla (Scott’s alkaline tap water substitute T. W. S.)“, příp. amoniakem, které výše uvedený problém spolehlivě vyřeší.
Růžově se mohou jevit i jádra, která byla nedostatečně obarvena hematoxylinem, příp. přebarvena eosinem.
Obr. A) Špatně definovaná jádra po příliš krátkém modrání. Jádra epidermis jsou růžová (H&E, kůže). B) Druhý řez byl ponechán v modrací lázni delší dobu. Jádra jsou mnohem lépe definována (kůže, H&E)
Krok 60: Zamezit nestejnoměrnému barvení eosinem
Po použití Scottova roztoku nebo jiné modrací lázni, by mělo následovat velmi důkladné promytí skel v pramenité vodě, aby se odstranily zbytky těchto roztoků z řezu.
Špatné vyprání řezů po modrání způsobí slabé a nerovnoměrné barvení eosinem.
Obr: Řez sleziny (H&E) demonstruje špatné vymytí alkalického činidla ze vzorku před barvením eosinem. Všimněte si nepravidelného barvení.
Krok 61: Monitorovat pH eosinu
Pro optimální barvení by pH roztoku eosinu mělo být udržováno na hodnotě 5,0. Vlivem použití pramenité vody při přípravě roztoku se může pH měnit. Snížení pH lze docílit např. přídavkem několika kapek kyseliny octové.
Měření pH eosinu se neprovádí. Když intenzita barvení klesne (přenesení do alkalické vody z vodovodu může způsobit vzestup pH roztoků eosinu), roztok se prostě vymění.
Obr: Řez plic (H&E). Dobarvení eosinem je příliš slabé. Všimněte si, že jedinými strukturami, které jsou obarveny eosinem, jsou erytrocyty.