Jsem odborníkem ve smyslu §2a Zákona č. 40/1995 Sb., o regulaci reklamy, ve znění pozdějších předpisů, čili jsem osobou oprávněnou léčivé přípravky, zdravotnické prostředky nebo diagnostické zdravotnické prostředky in vitro předepisovat nebo vydávat anebo poskytovat zdravotní služby, nebo jsem zaměstnancem poskytovatele zdravotních služeb.
Před vstupem do článku je nutné potvrdit seznámení se s oběma riziky.
101 kroků: Zalévání tkání
Krok 25: Správná orientace vzorků
Vzorky jsou správně orientovány. Kompetentním přikrajováním lze získat vzorky s rovnými povrchy. Laboranti provádějící zalévání mají přístup k popisu každého vzorku a jsou řádně proškoleni.
Orientace vzorku při zalití není správná, což může konečně vést i ke ztrátě tkáně, neboť je zapotřebí její opětovné zalévání. Některé špatně připravené vzorky pak vyžadují rozsáhlé skrajování na mikrotomu, než se podaří získat použitelný řez.
Obr: Tato endoskopická biopsie byla nesprávně orientována a ukazuje pouze povrch sliznice.
Krok 26: Zvolit vhodnou zalévací formu
Pro každý vzorek je pro zalévání zvolena forma vhodné velikosti.
Pro vzorky je užívána jedna forma univerzální velikosti. Někdy se tak může stát, že se tkáň dotýká okrajů formičky.
Obr. A )Zalévací forma použitá pro tento vzorek byla příliš malá. Vzorek je v kontaktu s okraji bloku a může se obtížněji krájet. B) Zalévací formy různých velikostí pro různé velikosti vzorků.
Krok 27: Šetrně zacházet se vzorky
Šetrné zacházení se vzorky během zalévání.
Hrubé zacházení se vzorky během zalévání. U některých tkání vlivem toho může dojít k jejich zlomení.
Obr: H&E preparát sleziny, která byla během zalévání zlomena při pokusu o přitisknutí ke dnu zalévací formy.
Krok 28: Zamezit nadměrnému ohřevu
Před manipulací se vzorky je pinzeta zahřívána na teplotu totožnou s bodem tání parafínu.
Pinzeta je zahřívána na teplotu vyšší, než je bod tání parafínu, čímž může dojít k lokálnímu poškození vzorku teplem.
Obr: Fotografie zobrazuje povrch části jater (H&E). Rozsáhlé lokální poškození, které činí tkáň téměř nerozpoznatelnou, bylo způsobeno aplikací tepla na tkáň při zalévání.
Krok 29: Pravidelně kontrolovat teploty
Teplota desky zalévací linky i teplota zásobníku parafínu je pravidelně kontrolována.
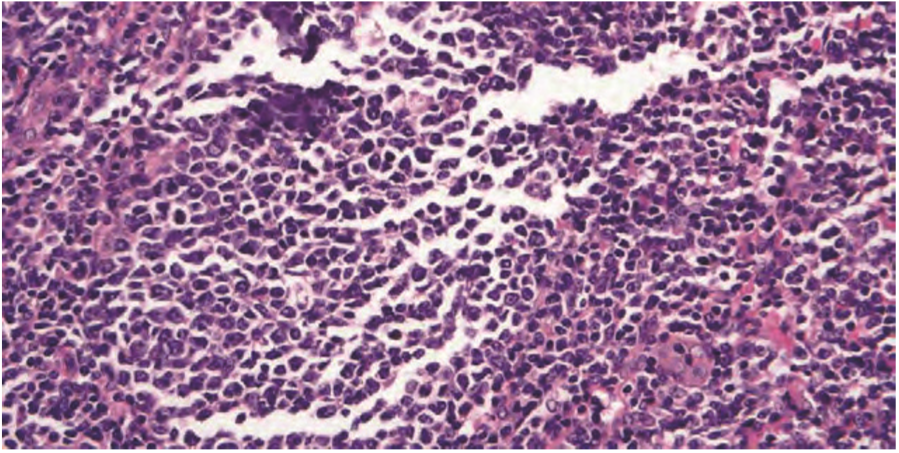
Pokud teplota desky zalévací linky není pravidelně nebo vůbec kontrolována, může dojít k poškození vzorku vlivem nadměrného zahřátí.
Obr: Tato lymfatická uzlina byla poškozena přehřátím kazetky ve vyhřívaném modulu zalévací linky. Všimněte si scvrknutých, pyknotických jader a rozsáhlých trhlin. Podobné praskliny mohou být také způsobeny napínáním řezů v příliš teplé vodní lázni nebo sušením řezů plovoucích na skle na velké kapce na horké plotýnce.
Krok 30: Nepřeplňovat formičky
Formičky jsou plněny parafínem na optimální úroveň a nepřetékají.
Formičky jsou přeplněny, před krájením je proto nutné kazety oškrábat vzadu i po hranách. V opačném případě by bločky v mikrotomové upínací čelisti seděly nerovnoměrně a způsobovaly nestabilitu, což by mohlo vést až k poškození tkáně.
Obr: Bloky, které se přelily při přeplnění zalévacích forem parafínem.