Co dělat, když se blok obtížně krájí.
ÚVOD
Ve všech histopatologických laboratořích se občas objeví parafínové bloky, které je obtížné ukrojit nebo dokonce nejdou krájet vůbec. V některých případech to může být způsobeno povahou konkrétního typu vzorku a tkáňovými prvky, z nichž je složen. Tyto tkáňové prvky mohou představovat problém, i když je vzorek správně fixován a následně zpracován. Myom, štítná žláza, silně keratinizovaná kůže, nehty a krevní sraženina jsou příklady náročných vzorků, které mohou způsobit problémy při krájení. Někdy vznikají problematické bloky nedostatečnou fixací, nevhodným nebo chybným následným zpracováním – včetně nadměrného zpracování – nebo vlivem chyby přístroje během vlastního zpracování.
Když se problematický blok vyskytne, obvykle se provede počáteční posouzení, aby se zjistilo, co se stalo špatně. Následně se snažíme řezy z těchto bloků získat jakýmkoliv způsobem.
První část tohoto článku uvádí několik otázek, na které se můžete zeptat, a které vám mohou pomoci rozhodnout, co daný problém způsobilo.
Část 2 obsahuje některé popisy problematických bloků souvisejících s možnými příčinami a poskytuje některé příklady obtížně zpracovatelných bloků, kde byla známa příčina. To by vám mělo pomoci se rozhodnout, jaký je konkrétní problém s vašimi bloky.
Část 3 (řešení 1-6) popisuje možnosti, jak získat řezy i z problematických bloků bez nutnosti opakování procesu.
Část 3 (řešení 7-10) popisuje techniky opětovného zpracování v případě, že nelze blok ukrojit vůbec, nebo bylo špatným procesem ovlivněno více bloků a je třeba proces zpracování opakovat.
Při opětovném zpracování bloků je zásadní důkladně prozkoumat příčinu problému předem, protože je opětovné zpracování v některých situacích nevhodné. Pokud je to možné, je také důležité zajistit, aby se problém neopakoval. Část 4 podrobněji pojednává o účincích a příčinách špatného zpracování, zabývá se otázkou kompromisu při rozhodování a popisuje harmonogram nového zpracování.
Část 5 poté popisuje, jakým způsobem by měla mít každá laboratoř zpracované spolehlivé metody při přepracování vzorku a jak by to mělo být obsaženo ve standardních operačních postupech.
ČÁST 1: Prvotní zhodnocení situace
Proč se můj blok obtížně krájí nebo ho nelze ukrojit vůbec?
Když se setkáte s bloky, které se velmi obtížně krájí nebo se vůbec krájet nedají, je důležité pokusit se zjistit, co se kde mohlo pokazit ještě předtím, než se rozhodnete, jaký krok bude následovat.
První otázky, které je třeba si položit, jsou:
• Co konkrétně je se zpracovanými vzorky špatně? Jsou příliš tvrdé, příliš měkké, křehké, kašovité atd.?
• Lišilo se něco ve zpracování, ve kterém vznikly problematické vzorky, ve srovnání s předchozími úspěšnými běhy?
• Proběhl proces zpracování opravdu celý a správně?
• Ovlivňuje můj problém všechny vzorky v dávce, nebo jen jejich malý počet? Jsou všechny vzorky podobného typu?
• Byly moje vzorky na samém vrcholu retorty a je možné, že nebyly úplně ponořeny do všech reagencií?
• Byly mé vzorky zpracovány pomocí obvyklého protokolu, který obecně přináší dobré výsledky pro tuto velikost a typ vzorků?
• Je pravděpodobné, že protokol byl příliš dlouhý nebo příliš krátký pro mé problematické vzorky? Pokud byl příliš dlouhý, tkáně mohou být tzv. „nadměrně zpracovány“, příliš krátký protokol naopak způsobí „nedostatečné zpracování“. Nadměrně zpracované tkáně by se neměly znovu zpracovávat.
• Ukázal software při běhu chybu, která by mohla naznačovat poruchu procesoru?
• Pomohla vizuální kontrola lahví s činidly (hladiny, znečištění, usazení a utěsnění)?
• Existuje možnost, že při výměně rozpouštědel v tkáňovém procesoru došlo k chybě, nebo že došlo k nějaké reakci mimo doporučené prahové hodnoty čistoty? Vadná činidla nebo nesprávná sekvence reagencií mohou způsobit „nedostatečné zpracování“. Je-li k dispozici vhodný přístroj, lze měřit měrnou hmotnost k určení přibližné koncentrace dehydratační látky.
• Byla na problematické vzorky použita normální fixace?
• Vím s jistotou, co se stalo?
Tyto otázky by vám měly pomoci určit, co se pokazilo. Pokud si nejste jisti, co je příčinou problému, musíte shromáždit co nejvíce informací pečlivým prozkoumáním svých vzorků. Pečlivé prozkoumání bloků může potvrdit vaše podezření, co se asi mohlo stát. Nezůstalo ve tkáni ještě rozpouštědlo? Váš nos to může zachytit.
ČÁST 2: Získání dalších informací
Příklady typických problémů a jejich příčiny.
Tabulka 1 přehledně ukazuje možné problémy se zpracováním bloků a popisné termíny, které se často používají, když se problematické bloky objeví. V každém popsaném případě je navržena příčina problému a v následujících odstavcích a obrázcích je podrobně popsána i s příklady. Řešení problémů jsou vysvětlena v části 3 (řešení 1-10).
| Číslo | Problém | Možná příčina | Řešení (část 3) |
| 1 | křupavá nebo křehká tkáň | nadměrné zpracování | 1,3 |
| 2 | zmenšená tkáň | nedostatečné zpracování | 8,9 |
| 3 | „uvařená“ tkáň | nadměrné zpracování nebo vysušení vzorku | 1,2,3
7 |
| 4 | kalná, kašovitá nebo mastná tkáň | nedostatečné zpracování | 9,10 |
| 5 | suchá a prášková tkáň | nadměrné zpracování | 1,2,3 |
| 6 | tkáň vonící po čistícím prostředku | nedostatečné zpracování | 8,9 |
| 7 | měkká a stlačitelná tkáň | nedostatečné zpracování | 9,10 |
| 8 | tkáň obsahuje tvrdé fragmenty | vápník nebo jiný přítomný materiál | 6,3,5 |
| 9 | vnější okraj tkáně je uspokojivý, ale střední oblast nelze krájet | nedostatečné zpracování nebo
neúplná infiltrace vosku |
9,10
8 |
| 10 | tkáň vykazuje špatnou konzistenci | špatná fixace, vadné zpracování | 9, 10 |
| 11 | vnější okraj tkáně je křehký a nelze ho krájet, zatímco střední oblast je uspokojivá | nadměrné zpracování | 1,2,3 |
| 12 | vzorek má jednotlivé oblasti, které nejdou krájet; tyto oblasti odpovídají konkrétní tkáni jako jsou svaly, hustá pojivová tkáň nebo tuk | nedostatečné zpracování | 3,4,5 a 9 |
| 13 | oddělení povrchu vzorku od okolního vosku, vzorek může být během zakrajování vylomen z bloku | chybné zalití
nebo nedostatečné zpracování |
8
9,10 |
| 14 | smrštění vzorku a vytvoření konkávní části | nedostatečné zpracování | 9,10 |
| 15 | tkáň ve středu bloku je špatně zpracována a řezy vykazují „modré odstíny“ a „jaderné tavení“ | nedostatečné nebo vadné zpracování | 9 |
| 16 | při plavání na hladině se řez „potí“ | nedostatečné nebo vadné zpracování | 9d |
| 17 | řez se velmi rychle rozpadá, zatímco se rovná na hladině | nedostatečné zpracování (zadržené rozpouštědlo) | 9 |
PROBLÉM 1:
KŘUPAVÁ NEBO KŘEHKÁ TKÁŇ
Je pravděpodobné, že tkáň byla nadměrně zpracována. Je nepravděpodobné, že by další přepracování pomohlo. Namočení přední strany bloku do ledové vody nebo změkčovadla a pečlivé krájení však může přinést přijatelný výsledek (použijte řešení 1 a 3).

Obrázek 1: Tyto části jater, ukázané během plavání na hladině na obrázku 1, byly během krájení velmi křehké a zpočátku nešlo ukrojit soudržný řez. Tkáň byla zpracována ve 12ti hodinovém cyklu ethanol / xylen, který byl pro tento typ tkáně a pro rozměry vzorku příliš dlouhý. Lepší řezy byly získány po krátkém použití změkčovadla na čele bloku (voda s přidaným detergentem), chlazení a opětovném krájení. (řešení 2 a 3)
PROBLÉM 2:
ZMENŠENÁ TKÁŇ
Nedostatečně zpracovaná tkáň se v důsledku odpařování zbytkového rozpouštědla zmenšuje zpět do bloku. Zde může pomoci opětovné zpracování. Po krájení se dobře zpracovaná tkáň nesráží, protože všechna rozpouštědla byla vytlačena voskem. (Použijte řešení 8 nebo 9.)
Příklad:
Blok zobrazený na obrázku 3 je nedostatečně zpracovaný srdeční sval, řezaný před 24 hodinami. Přední část bloku se smrštila zpět, protože se tkáň zmenšuje v důsledku odpařování zbytkového rozpouštědla zbývajícího po zpracování. Fotografie smrštění byla pořízena pomocí podsvícení (zelené) za úhlovým zrcadlem, jak je znázorněno na obrázku 4. Nejlepší řez, který lze z tohoto bloku připravit, je ihned po zalití znázorněn na obrázku 2.
To, do jaké míry se povrch bloku po řezu smrští, je dobrým ukazatelem kvality zpracování. Kromě toho exponovaná tkáň v tomto bloku páchla čirým činidlem. Tento vzorek byl zpracován v cyklu, který byl příliš krátký na jeho velikost a druh. Použití řešení 9a může umožnit získání úplného řezu.

Obrázek 2: Zobrazení řezu nedostatečně zpracovaným blokem srdečního svalu.

Obrázek 3: Blok s extrémním smrštěním.

Obrázek 4: Způsob vytvoření fotografie smrštěného bloku.
PROBLÉM 3:
„UVAŘENÁ“ TKÁŇ
Takto popsaná tkáň je obvykle nadměrně zpracována (nebo byla vystavena extrémním podmínkám, např. nadměrnému teplu). Toto poškození může být nevratné. Řezy z tohoto bloku lze někdy získat namočením přední strany bloku do ledové vody nebo změkčovadla a pečlivým znovuukrojením. (Použijte řešení 1, 2 a 3.) Viz také příklad v problému 1.
Tento efekt může být též způsoben úplným vysušením vzorku před nebo během zpracování. Použití rekonstitučního roztoku a následné přepracování může pomoci. (Použijte řešení 7.)

Obrázek 5: Vzorek jazyka byl před rutinním zpracováním jeden týden vysušen. Při zalévání vypadal vzorek velmi tvrdě a scvrkle a byl popisovačem označen jako „vařený“. Po aplikaci řešení 1, 2 a 3 je nejlepší řez, který lze získat, zobrazen na obrázku 5.

Obrázek 6: Výsledek aplikace řešení 7, tedy použití Sandisonova roztoku k rekonstituci vzorku s následným přepracováním a opětovným krájením, je znázorněn na obrázku 6. Ačkoli je morfologie stejná, byl získán mnohem soudržnější řez.
PROBLÉM 4:
KALNÁ, KAŠOVITÁ NEBO MASTNÁ TKÁŇ
Obvyklou příčinou bloků s těmito vlastnostmi je tuk. Zpracováním se nepodařilo odstranit lipidy z oblastí vzorku a tyto oblasti nebyly řádně infiltrovány voskem. Nejsou tudíž vhodné pro řezání. Toto se běžně vyskytuje u velkých vzorků prsou, které byly zpracovány pomocí příliš krátkého cyklu. Přepracování pomocí dostatečně dlouhého harmonogramu by mělo vyprodukovat bloky, které lze krájet. (Použijte řešení 9 nebo 10.)
Obrázek 7 ukazuje nedostatečně zpracovaný vzorek tukového prsu s velkou střední oblastí, která vypadá mastně. Na sklíčko lze přenést pouze okraj fragmentované tkáně (obrázek 8). Tkáň není ani dehydratovaná, ani vyčištěná (obsahuje nerozpuštěný tuk) a musí být znovu zpracována. Navrhuje se řešení 9a využívající osmihodinový cyklus.

Obrázek 7: Nedostatečně zpracovaný vzorek prsní tkáně.

Obrázek 8: Okraj fragmentované tkáně na sklíčku.
PROBLÉM 5:
SUCHÁ A PRÁŠKOVÁ TKÁŇ
Výsledkem nadměrného zpracování mohou být suché a práškové tkáně, zvláště pak pokud tkáň obsahuje hodně krve. Toto je často pozorováno u bloků s tkání hlodavců, které byly zpracovány příliš dlouhým protokolem. Přepracování tkáně nepomůže.
Co však může přijít vhod, je namáčení bloku v ledové vodě před řezáním. Dále by mohlo lepší výsledek krájení přinést velmi pomalé řezání bloku poté, co jej necháte trochu zahřát. Může také pomoci krájení na tenčí tloušťku. (Použijte řešení 2 nebo 3.)

Obrázek 9: ukazuje řez z nadměrně zpracovaného bloku jater hlodavců (barvení retikulinem). Tkáň byla zpracována ve 12 hodinovém cyklu a výsledný blok byl extrémně křehký, suchý a práškový a vykazoval rozsáhlé mikrotrhliny. Namočení přední části bloku v ledové vodě před opětovným krájením poskytlo lepší výsledek (řešení 3).
PROBLÉM 6:
TKÁŇ VONÍCÍ PO ČISTÍCÍM PROSTŘEDKU
Bloky páchnoucí po čistícím prostředku jsou nedostatečně zpracovány. Rozpouštědlo nebylo vytěsněno voskem. Opětovná infiltrace vzorků voskem může vytvořit bloky, které lze řezat. Avšak proto, že takové vzorky často obsahují stopy vody, bude nejspíš nejlepší možností kompletní přepracování. (Použijte řešení 8 nebo 9.)

Obrázek 10: Řezy z bloku vláknité tkáně znázorněné na obrázku 10 se rozpadají, jakmile jsou umístěny na vodní hladinu. Ačkoli se řez laborantovi získat podařilo, byl řez značně porušen a blok byl cítit xylenem, který nebyl vytěsněn voskem. Řešení 8 by vylepšilo blok a umožnilo by získat soudržné úseky.
PROBLÉM 7:
MĚKKÁ A STLAČITELNÁ TKÁŇ
Když je tkáň v bloku měkká a stlačitelná, znamená to, že z nějakého důvodu není infiltrace voskem úplná. Častá příčina je přítomnost nerozpuštěného lipidu, který nebyl odstraněn během zpracování (nedostatečně zpracovaná tkáň), příčinou však může být jednoduše i nedostatečná infiltrace voskem. Přepracování je nejlepší volba. (Použijte řešení 9 a 10.)
Příklad: Blok slinivky břišní na obrázku 11 ukazuje některé typické účinky krátké doby fixace následované vážným nedostatečným zpracováním. Snímky pod mikroskopem (obrázky 12 a 13) ukazují drastické důsledky pro morfologii zobrazenou v řezech z tohoto bloku. Je překvapivé, že zpočátku bylo možné získat jakékoli řezy. Přední část bloku se smrštila až po několika dnech po ukrojení tkáně v důsledku odpařování rozpouštědel, která nebyla během zpracování eliminována.
Typické hrubé praskání, ke kterému dochází ve středu nedostatečně zpracovaného bloku, je znázorněno na obrázku 12. Vnější okraj tkáně je lépe zachován.
Centrální oblast, kde jsou buňky oteklé a vykazují typický „modrý odstín“, je znázorněna na obrázku 13. Zadržené rozpouštědlo je jedním z příčiny problému, kdy se tkáň nedostatečně dehydratovala a vyčistila, a čistící rozpouštědlo nebylo vytlačeno voskem. Řešení 10 by mohlo umožnit získat lepší řezy, přesto je však pravděpodobné, že morfologie nebude zcela dokonalá.

Obrázek 11: Blok špatně fixovaného a nedostatečně zpracovaného parafínu se vzorkem slinivky.

Obrázek 12: Pohled na špatně fixovaný a nedostatečně zpracovaný pankreas při malém zvětšení objektivu.

Obrázek 13: Centrální oblast špatně fixované a nedostatečně zpracované slinivky břišní, kde je dobře viditelný „modrý odstín“.
PROBLÉM 8:
TKÁŇ OBSAHUJE TVRDÉ FRAGMENTY
Nejprve se pokuste rozhodnout, jaké fragmenty by to pravděpodobně mohly být. Pokud je přítomen vápník, odvápněte povrch a poté důkladně blok opláchněte. Krájením by pak mělo být možné vytvořit použitelné části řezu. Existuje mnoho dalších možností, včetně ateromatózních plaků. Těm může prospět namočení bloku před přepracováním. Dále mohou působit problémy jiné minerální usazeniny, obvykle v plicní tkáni. Poslední možností pak může být lokální fyzické odstranění těchto škodlivých částic nebo cizích těles (např. chirurgické svorky, sklo, dehtové fragmenty atd.). Použijte řešení 6, 3 a 5.
Příklad: Bazofilním materiálem přítomným v granulomu zobrazeném na obrázku 14 je vápník. Velké množství se při krájení roztříštilo a z řezu vypadlo. Tato fotografie byla pořízena z nejzachovalejší části řezu. Povrchové odvápnění (řešení 6) umožnilo získat několik soudržných řezů. Pokud by zde krok odvápnění zahrnut nebyl, přineslo by opětovné zpracování vzorku jen malé zlepšení.

Obrázek 14: Granulom obsahující bazofilní vápník (H&E).
PROBLÉM 9:
VNĚJŠÍ OBLAST TKÁNĚ JE USPOKOJIVÁ, ALE STŘEDNÍ OBLAST NELZE KRÁJET
Tento problém ukazuje na nedostatečné zpracování. Tkáň není úplně dehydratovaná a / nebo vyčištěná, a proto není správně infiltrována (vosk nemohl proniknout kvůli přítomnosti vody). Přepracování by mělo pomoci. (Použijte řešení 9 nebo 10.)
Další možností je, že vzorek sice byl řádně dehydratován a vyčištěn, ale nebyl dostatečně vystaven působení vosku, a tak nebyla infiltrace úplná. Roztavte blok a aplikujte další infiltraci voskem. (Použijte řešení 8.)
Příklad:
Blok jater zobrazený na obrázku 15 obsahuje centrální oblast, kterou nelze ukrojit. Tkáň má tendenci vypadávat, když čepel projede skrz.
Při důkladném prozkoumání je centrální oblast suchá a práškovitá a není dostatečně infiltrována voskem (obrázek 16). Tkáň byla důkladně fixována, ale protože byla zpracována v krátkém dvouhodinovém cyklu, nebyla řádně dehydratována a vyčištěna. Má-li být získán kompletní soudržný úsek, bude nutné přepracování. (Použijte řešení 9d s šestihodinovým cyklem.)

Obrázek 15: Špatně ukrojitelná tkáň jater nedává soudržné řezy.

Obrázek 16: Blok jater se špatně zpracovanou střední částí.
PROBLÉM 10:
TKÁŇ VYKAZUJE ŠPATNOU KONZISTENCI
Je třeba si uvědomit, že tento problém může způsobit špatná počáteční fixace vzorku. Může to být také problém související se zpracováním, avšak nemusí být nutně způsobený nedostatečným zpracováním (příliš krátký protokol). Je pravděpodobnější, že to bude způsobeno nekvalitními, kontaminovanými (nadlimitní použití) nebo nesprávně objednanými činidly. Kdy byla naposledy měněna rozpouštědla? Přepracování vzorku může vyřešit tento problém. (Použijte řešení 9 nebo 10.)
Příklad:
Vzorek mozkové kůry zobrazený na obrázku 17 byl zpracován za použití konvenčního 12 hodinového protokolu ethanol / xylen. I když by měl být tento protokol pro vzorek tohoto typu a rozměru dostačující, struktura bloku je špatná. Při vyšetřování bylo zjištěno, že konečný dehydratující ethanol byl silně kontaminován vodou. Vzorek je tedy špatně zpracovaný. Řešení 9 (přepracování) může zlepšit kvalitu získaných řezů.

Obrázek 17: Špatná dehydratace vzorku mozku.
PROBLÉM 11:
VNĚJŠÍ OKRAJ TKÁNĚ JE KŘEHKÝ A NELZE HO KRÁJET, ZATÍMCO STŘEDNÍ OBLAST JE USPOKOJIVÁ
Tento problém může naznačovat nadměrné zpracování u citlivých tkání, jako je krvetvorná nebo lymfoidní tkáň, kde je vnější vrstva tkáně ovlivněna jako první. Je nepravděpodobné, že by přepracování pomohlo. Namočte proto blok do ledové vody nebo změkčovacího prostředku a opatrně jej znovu zkuste ukrojit (použijte řešení 1, 2 a 3).
Příklad:
Fotografie zobrazené na obrázcích 18 a 19 představují různé oblasti ze stejné části sleziny. Obrázek 18 ukazuje střední oblast, která se dobře krájela, zatímco obrázek 19 znázorňuje oblast kraje vzorku, která byla pro krájení příliš křehká. Centrální část je docela dobře zachována s cytoplazmou a dobře zobrazenými jádry lymfocytů s minimálním smrštěním, ale vnější část vzorku vykazuje praskání, špatné cytoplazmatické a jaderné detaily a podstatné zmenšení. Tento blok byl nadměrně zpracován. Důsledky nadměrného zpracování se ukazují v morfologii tkáně ve vnější části vzorku – je zde patrné, že byla tato část dlouhodobě vystavována reagenčním činidlům. Centrální oblast vzorku byla vystavena činidlům po kratší dobu a je tudíž lépe zachovaná. Řešení 1, 2 a 3 mohou pomoci získat kvalitnější řezy, ale přepracování vzorku zde nepomůže.

Obrázek 18: Centrální oblast sleziny – adekvátní zpracování.

Obrázek 19: Vnější část vzorku sleziny a viditelné nadměrné zpracování.
PROBLÉM 12:
VZOREK MÁ JEDNOTLIVÉ OBLASTI, KTERÉ NEJDOU KRÁJET A TYTO OBLASTI ODPOVÍDAJÍ KONKRÉTNÍ TKÁNI, JAKO JSOU SVALY, HUSTÁ POJIVOVÁ TKÁŇ NEBO TUK
Tento problém ukazuje na nedostatečné zpracování náchylných typů tkání kvůli jejich jedinečným vlastnostem, jako je např. extrémní hustota tkáně. Nejdříve byste měli vyzkoušet techniky změkčení tkání a pokusit se krájet vzorek tak, jak je podrobně popsáno v řešeních 1-5. Pokud se ale jedná o problém vzniklý neúspěšným přepracování vzorku, měli byste se pokusit problém překonat pomocí řešení 9.
Příklad:
Obrázek 20 ukazuje blok dobře fixovaných, ale nedostatečně zpracovaných vepřových jater. Vzorek je extrémně dutý, což vzniklo smrštěním tkáně. Pečlivé zkoumání také ukazuje, že interlobulární pojivová tkáň je ve středu bloku suchá a není dostatečně prosycená.
Řez z tohoto bloku (obrázek 21) ukazuje velkou plochu chybějící tkáně a je zcela neuspokojivý. Tento vzorek byl zpracovaný v příliš krátkém cyklu a nebyl ani řádně dehydratován, ani vyčištěn. Použití řešení 9a může pomoci k ukrojení alespoň nějakých řezů. Nemůžeme ale příliš očekávat morfologicky plně reprezentativní vzorek.

Obrázek 20: Blok vepřových jater ukazuje špatně zpracovanou interlobulární tkáň.

Obrázek 21: Vzorek vepřových jater z toho samého bloku s jasně viditelnou špatně zpracovanou centrální částí tkáně.
PROBLÉM 13:
ODDĚLENÍ POVRCHU VZORKU OD OKOLNÍHO VOSKU, VZOREK MŮŽE BÝT BĚHEM SEŘEZÁVÁNÍ VYLOMEN Z BLOKU
Tento problém by mohl ukazovat na špatnou techniku zalévání. Při zalévání vzorku byl zvolen špatný postup. Opětovné rozehřátí a zalití vzorku by tento problém mohlo vyřešit.
Extrémně nedostatečné zpracování v tkáňovém procesoru může tento efekt způsobit také proto, že se vzorek při nedostatečném prosycení tkáně zmenší, což způsobí oddělení povrchu vzorku od vosku (viz příklad v problému 7). Důkladné přepracování vzorku může tento problém vyřešit.
Příklad:
Vzorek zobrazený na obrázku 22 se oddělil od okolního vosku. Tato situace může mít za následek vytažení vzorku z bloku během krájení (zejména při zakrajování). Mohlo to být způsobeno tím, že se vosk nechal ztuhnout na povrchu vzorku před umístěním do formy během zalévání. Pečlivé opětovné zalití vzorku by tento problém mělo vyřešit. V tomto případě nešlo o špatné zpracování vzorku jako v problému 7.

Obrázek 22: Vzorek tumoru ukazující špatný postup při zalévání vzorku.
PROBLÉM 14:
SMRŠTĚNÍ VZORKU A VYTVOŘENÍ KONKÁVNÍ ČÁSTI
Nedostatečné zpracování (nebo vadné zpracování) tento efekt vytváří proto, že když se z bloku odpařuje rozpouštědlo, vzorek se zmenšuje. Důkladné přepracování může tento problém vyřešit. K tomuto efektu dochází několik dní po zalití vzorku do bloku a někdy jej lze vidět v blocích, které byly vyříznuty a vyjmuty. Viz příklady 2, 7 a 12. (Použijte řešení 9 nebo 10.)
PROBLÉM 15:
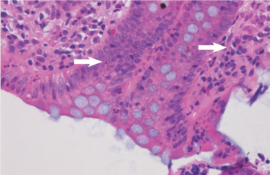
TKÁŇ VE STŘEDU BLOKU JE ŠPATNĚ ZPRACOVÁNA A ŘEZY VYKAZUJÍ „MODRÉ ODSTÍNY“ A „JADERNÉ TAVENÍ“
Pokud je problém způsoben nedostatečným zpracováním tkáně, které má za následek zadržení rozpouštědla v bloku, může pomoci opětovné zpracování. Pokud je problém způsoben jinými příčinami (jako je například kontaminace vosku formalínem), je nepravděpodobné, že by opětovné zpracování morfologii vzorku vylepšilo, avšak můžeme tím dosáhnout lepšího krájení vzorku. (Použijte řešení 9 nebo 10.)
„Jaderné tavení“ (probublávání) je jedním z mnoha popisných názvů pro danou skupinu artefaktů vznikající v buněčném jádře. Příčiny těchto artefaktů nejsou zcela známy a byly po mnoho let předmětem probíhajících debat 2,3. Protože může existovat celá řada příčin těchto artefaktů, je někdy nemožné příčinu odhalit.
Charakteristika tzv. „jaderného tavení“ může obsahovat:
• Špatně definovatelné jaderné membrány.
• Chromatin, který postrádá definici (může se jevit jako amorfní, jako broušené sklo nebo rozmazaný, a může se pohybovat na škále od velmi bledého po poměrně hustý).
• Přítomnost modrého odstínu nebo modrého oparu (více královské modré než fialové / modré u správně zbarvených jader ve stejné části).
• Nerovnoměrná distribuce, která může ovlivnit pouze malé části řezu (například v úseku střev nebo kůže může být barvení přítomné pouze v některých oblastech epitelu s některými tkáněmi nedotčenými).
• Problém se vyskytuje u jednoho nebo více vzorků.
• Problém se objeví pouze u konkrétních typů vzorků. Mezi běžné postižené vzorky patří: gastrointestinální trakt (zejména endoskopie), lymfoidní tkáň a kostní dřeň, slezina, kůže a endometrium. Epiteliální a lymfoidní tkáně se zdají být nejcitlivější.
• Pravidelné výskyty tohoto problému, které na čas v laboratoři bez příčiny zmizí a zase se později objeví.
Některé z navrhovaných příčin:
• Před fixací se nechal vzorek vyschnout 4 (např. umístěním čerstvé nefixované tkáně na suchý absorpční povrch). To může být určitě problém u malých endoskopických vzorků.
• Použití xylenu, který byl během procesu čištění a zpracování kontaminován vodou. Když k této situaci dojde, navrhujeme vzorky přepracovat 5.
• Použití parafínu, který je během zpracování kontaminován formalínem nebo formalinem a ethanolem 5. Tento problém může způsobovat vadný tkáňový procesor (zejména u rotačních procesorů – karuselů) a zdá se, že tkáň bohužel poškozuje trvale.
• Pokud během zpracování nedojde k úplnému nahrazení rozpouštědla parafínem (zadržené zbytkové rozpouštědlo v lázni či retortě). To může být způsobeno použitím chybného protokolu nebo chybou v tkáňovém procesoru. V tomto případě může pomoci problém vyřešit přepracování vzorku.
• Přehřátí řezu po krájení a před barvením, například vadnou sušičkou v barvícím automatu.
• Špatné zabarvení jader způsobené neúčinným odparafinováním před barvením a ponechání části parafínu v řezu vzorku. Jádra vzorku se špatně barví hematoxylinem a mohou produkovat tzv. „růžovou chorobu“ 6,7. Prodloužení času odparafinování před barvením a výměna reagencií za čerstvé by mohly pomoci tento problém vyřešit.
Příklad:
Obrázek 23 ukazuje typické rysy „jaderného tavení“, přičemž chromatin je zde velmi špatně definován s přítomností zákalu a modrého odstínu. Tímto způsobem byla ovlivněna část sliznice, přičemž některé přilehlé oblasti byly normálně zachovány. Vzorek byl dobře fixovaný a materiál zpracovaný ve čtyřhodinovém cyklu. V tomto případě se domníváme, že byl problém způsoben nedostatečným nahrazením rozpouštědla parafínem (nedostatečné zpracování). Řešení 9e by vytvořilo soudržnější řezy a lepší barvení.

Obrázek 23: Slizniční tkáň vykazující typický „modrý odstín“.
PROBLÉM 16:
PŘI PLAVÁNÍ NA HLADINĚ SE ŘEZ „POTÍ“
„Pocení“ popisuje průsvitný vzhled, který je někdy pozorován v řezech během plavání na hladině před natažením tkáně na podložní sklo. To je někdy spojeno s malými olejovými kapičkami čistícího činidla na povrchu řezu. Běžně je to viditelné u bloků mozku a míchy, které byly neúplně dehydratovány a vyčištěny. Řezy s tímto vzhledem jsou po krátké době na hladině vody také náchylné k fragmentaci – rozpadu řezů. Pokud řezy nelze získat, mohlo by pomoci přepracování tkáně. (Použijte řešení 9d.)
Příklad:
Obrázek 24 ukazuje řezy z bloku mozku ukazující „pocení“ – indikaci, že tkáň nebyla plně dehydratována a vyčištěna během použitého šestihodinového cyklu. V této oblasti vykazoval řez jemné mikroskopické praskání a narušení. Mozek je tkáň jemná a obtížně zpracovatelná. Řešení 9d může vytvářet lepší řezy, ale v tomto případě může být zlepšení marginální.

Obrázek 24: Řez mozkové tkáně na hladině vody znázorňující „pocení“.
PROBLÉM 17:
ŘEZ SE VELMI RYCHLE ROZPADÁ, ZATÍMCO SE ROVNÁ NA HLADINĚ
Toto je běžný problém obvykle způsobený nedostatečným zpracováním, kdy zadržené rozpouštědlo uvnitř tkáně zřejmě rozkládá povrchové napětí, které normálně drží tkáň pohromadě. V důsledku toho se řez může rychle rozpadat, jakmile jej umístíme na vodní hladinu. Použití studené nebo velmi vlažné vody může zpomalit rozpadání řezů. V případě, že je rozpad velmi rychlý a nelze řezy získat, je možné přepracovat vzorky. (Použijte řešení 9.) Viz také příklad v problému 6.
ČÁST 3: Detailní řešení pro problematické bloky
Co udělat nyní?
Před konečným rozhodnutím byste měli:
• Pečlivě prohlédnout tkáňový procesor, jak jeho fyzický stav, tak chybové hlášky
• Promluvit si se zaměstnanci, kteří v době zpracování vzorků tkáňový procesor obsluhovali nebo se věnovali jeho údržbě
• Zkontrolovat výsledné vzorky a rozhodnout, co je nejpravděpodobnější příčinou problému
• Zvážit, zda nebude lepší získat ze vzorku alespoň nějaké řezy předtím, než přistoupíte k přepracování vzorků; běžné metody jsou popsány níže v jednotlivých řešeních 1–6
Neexistuje jediná metoda, která by zachránila všechny špatně zpracované tkáně. Vědecká a technická literatura však nějaké návrhy obsahuje, a pro některé z nich existuje dokonce neoficiální podpora8-19. Možnosti popsané níže v řešeních 7–10 mohou poskytnout obecné rady, nikoli ale konkrétní návrhy. Příčiny problémů se zpracováním jsou totiž velmi rozmanité. Úspěch opravy obvykle závisí na správné identifikaci těchto příčin. V příloze jsou uvedeny rozhodovací stromy pro přepracování vzorku, což může být další pomoc při rozhodování.
ŘEŠENÍ BEZ PŘEPRACOVÁNÍ VZORKU
ŘEŠENÍ 1: DOBRÁ ZÁKLADNÍ TECHNIKA
Při pokusu o získání řezů z obtížného bloku se ujistěte, že používáte dobrou základní techniku.
To zahrnuje:
• Ostrou čepel bez vad, vhodnou pro daný vzorek
• Nastavení optimálního úhlu čepele (někdy je při malém úhlu obtížné ukrojené řezy sebrat)
• Výběr vhodné tloušťky řezu (někdy pomůže řezání o něco tenčích nebo silnějších řezů); to je obzvláště užitečné, když jsou bloky křehké
• Zajistit, aby byl váš mikrotom dobře udržovaný a bez opotřebení, přičemž všechny svorky musí fungovat efektivně (to je důležité zejména při řezání velkých bloků nebo tvrdých tkání); pravidelná servisní údržba je nezbytná
• Zajištění optimálního vložení vzorku s náležitou pozorností na orientaci vzorku k hraně nože; například u vzorků jako je děložní čípek, který je velmi hustý a vláknitý, je lepší, aby se čepel při průchodu z vosku do tkáně setkala spíše s jedním bodem tkáně než s dlouhou rovnou hranou – v takovém bloku je vosk podstatně měkčí než infiltrovaná děložní tkáň, což může způsobit změny tloušťky v řezu v důsledku pohybu čepele; tomu lze zabránit vhodnou orientací vzorku
• Zajištění dostatečně studeného bloku
ŘEŠENÍ 2: CHLADÍCÍ BLOKY
U rutinních parafínových řezů je standardní praxí blok před krájením dostatečně zchladit. Účinné chlazení vytvrzuje vosk tak, aby lépe odpovídal tvrdosti infiltrované tkáně. Existují různé způsoby chlazení bloků, některé jsou ale efektivnější než jiné, zejména u obtížných bloků.
• Lze použít mrazák a chladit vzorky při teplotě -15 °C. To ale poskytuje tzv. „suché nachlazení vzorku” a někdy způsobuje praskliny na rozhraní tkáně/vosku. Tento způsob chlazení bloků může stěžovat získání soudržných řezů, zejména pak u obtížně zpracovatelných bloků .
• Lze použít chladící desku, a pokud je její povrch vlhký, je i nejúčinnější (0-4 °C).
• U obtížně zpracovatelných bloků je účinným prostředkem pro chlazení bloku kontakt čelní plochy bloku s povrchem tajícího ledu. To má tu výhodu, že led alespoň částečně rehydratuje tenkou vrstvu obnažené tkáně, což může umožnit získaní pár řezů z problematických vzorků (viz níže).
• Tlakovaný chladící sprej lze použít přímo na přední stranu bloku. To je třeba provést opatrně, protože lokalizované zmrazení může způsobit praskání vzorku a parafínu. Pamatujte také, že některé výrobky nemusí být ekologické.
ŘEŠENÍ 3: NAMÁČENÍ A ZMĚKČENÍ PARAFÍNOVÉHO BLOKU
V případě, že parafínový blok zkrájíme na povrchu, má pak vzorek schopnost absorbovat vodu nebo další vodná či alkoholická činidla. Činidla proniknou do tenké vrstvy tkáně a dokáží ji změkčit. U špatně zpracovatelných bloků (jak nedostatečně, tak nadměrně zpracovaných bloků) může tento efekt umožnit ukrojení alespoň několika řezů. Tabulka 5 v dodatku obsahuje podrobnosti o různých činidlech, která lze pro tento účel použít.
U obtížných bloků postup vyžaduje velmi opatrné zakrajování, aby se odhalila tkáň a zároveň se zabránilo přílišnému poškození povrchu vzorku. Po okrájení jej na vhodnou dobu vložte lícem dolů do misky obsahující změkčovací prostředek. Povrch bloku můžeme pak jen opláchnout a blok znovu zchladit, než se pokusíme uříznout nějaké kvalitní řezy. Protože je činidlem nasycena jen velmi tenká vrstva tkáně, je zásadní, aby byl blok pečlivě zarovnán a nedocházelo tak ke zbytečné ztrátě řezů. Obecně platí, že při tomto postupu se nejkvalitnějších řezů dosáhne pomalým krájením bloku.
Možnosti této techniky zahrnují:
• Namočení přední strany bloku (povrchu se vzorkem) do ledové vody
• Namočení povrchu bloku do studené vody s přídavkem detergentu6 nebo aviváže11,21
• Namočení bloku do změkčovadla, jako je směs alkoholu a glycerolu11 nebo Mollifex11,21
• U silně zrohovatělých vzorků kůže nebo nehtů ošetřete povrch bloku Nairem nebo Veetem (přípravky na odstraňování chloupků), roztokem hydroxidu draselného nebo použijte roztok fenolu (jedná se o toxické chemikálie a je třeba je používat opatrně); tato činidla lze použít také ke změkčení důkladně fixované tkáně před vlastním zpracováním22
Pozor: Dlouhodobé namáčení bloků může poškodit morfologii a charakteristiky barvení tkání, a proto by se mělo používat obezřetně. Obrázek 25A ukazuje účinek prodlouženého namáčení ve vodě. Ve srovnání se zobrazeným neošetřeným blokem a řezem na obrázku 25B se tkáň v bloku stala bílou a neprůhlednou, a v řezu je viditelné jaderné poškození a smrštění buněk.

Obrázek 25A: Blok namočený ve vodě po dobu 30 minut.

Obrázek 25B: Blok, který byl krátce schlazen a krájen bez namáčení.
ŘEŠENÍ 4: NESTANDARDNÍ NATAHOVÁNÍ ŘEZŮ (FLOTACE)
Nestandardní flotační techniky mohou být užitečné, pokud jsou nejlepší možné řezy získatelné z problémového bloku velmi pomačkané. Jestliže se řezy zpočátku natahují buď na studenou nebo vlažnou vodu či na 20% ethanol a až poté se přenesou do horké vodní lázně, mohou se řezy výrazně vyhladit. 20% ethanol aktivně vyhlazuje „vrásky“ řezů, protože má nižší povrchové napětí než voda.
Pokud byly bloky nedostatečně zpracovány a obsahují zbytková rozpouštědla, mají tendenci na povrchu vody za normální flotační teploty „explodovat“ (rychle se rozpadat). Tento efekt lze snížit nebo mu zabránit použitím studené nebo vlažné vody pro flotaci (natažení řezu).
ŘEŠENÍ 5: PŘENOS LEPICÍ PÁSKOU
Technika přenosu parafínu pomocí lepicí pásky (Paraffin Tape-Transfer System) je doporučována pro obtížně ukrojitelné tkáně a pro Tissue Micro Arrays, dále poskytuje možné řešení pro problematické bloky. Okno s lepicí páskou se aplikuje na řezaný povrch bloku a přitlačí se naplocho. Část je poté pečlivě ukrojena a řez vypadne z bloku připojený k pásce. Řez se nanese na speciální sklíčko potažené lepidlem, přitlačí se naplocho a vystaví se UV světlu kvůli polymeraci lepidla. Sklíčko se pak umístí do rozpouštědla, aby se odstranila páska, a poté se standardně obarví23.
ŘEŠENÍ 6: ODVÁPNĚNÍ POVRCHU
Někdy se vyskytují bloky, které obsahují neočekávané fragmenty tvrdého materiálu. Pokud se jedná o vápník, může být odstraněn z povrchu bloku odvápněním povrchu. Cizí tělesa, jako jsou stehy, sponky, syntetické štěpy atd. touto technikou však odstraněny nebudou a někdy je možné je řešit pouze lokálním odstraněním z plochy bloku.
Princip metody: Odvápňovací prostředky proniknou do tenké vrstvy na povrchu exponované tkáně v parafínovém bloku a rozpouštějí zde vápník. To umožňuje ukrojení několika soudržných řezů.
• Namočte obnažený povrch do odvápňovacího prostředku s následným důkladným opláchnutím ve vodě, ochlazením a opětovným ukrojením11. Důkladné opláchnutí bloku je nezbytné, aby nedošlo k poškození držáku čepele mikrotomu kyselým odvápňovacím prostředkem.
• Potřebný čas bude záviset na konkrétním použitém dekalcifikačním činidle. Silně kyselé odvápňovače (například ty, které obsahují kyselinu chlorovodíkovou) by měly být aplikovány po dobu 5 až 15 minut.
• Silně kyselé odvápňovače mohou mít nepříznivý účinek na barvení jader a měly by se proto používat obezřetně.
Pozor: V případě, že bloky vápník neobsahují, nedoporučuje se kyselé odvápňovače ke změkčení bloků používat. Kyselé činidlo může mít nepříznivý účinek na následné barvení. Obrázek 26 ukazuje epidermis v části kůže ošetřené odvápňovačem ve snaze změkčit keratin. Všimněte si špatně obarvených jader v povrchových vrstvách.

Obrázek 26: Řez kůže po použití dekalcifikačního roztoku pro změkčení keratinu.
ŘEŠENÍ ZAHRNUJÍCÍ REKONSTITUCI A PŘEPRACOVÁNÍ
ŘEŠENÍ 7: PRO ZAFIXOVANOU TKÁŇ, KTERÁ ÚPLNĚ VYSCHLA A ZŮSTÁVÁ SCVRKLÁ A TVRDÁ
Občas mohou být vzorky „ztraceny“ (znehodnoceny) během přepravy nebo mohou nadměrně vyschnout na přikrajovacím stole. To se může stát také kvůli poruše tkáňového procesoru, nejčastěji u procesorů pro přenos tkáně, které se nazývají karuselové, kde může být po kroku ponoření do dehydratantu nebo čirého činidla tkáň vystavena delší dobu působení vzduchu.
Každá z následujících metod zahrnuje použití „rekonstituce“, „obnovy“ nebo změkčovacího činidla. Některé z těchto reagencií se objevily v paleohistologické a paleopatologické literatuře, kde byly použity ke změkčení a rehydrataci mumifikované tkáně24-26.
ŘEŠENÍ 7A: VZORKY, KTERÉ JEŠTĚ V PARAFÍNU NEBYLY
Zdůvodnění: Pokud vyschl vzorek po fixaci, ale před zpracováním v tkáňovém procesoru nebo vyschl v raných fázích zpracování (jak se někdy může stát, když je například vzorek zapomenut mimo fixační činidlo ve víčku od přepravní nádoby nebo je příliš dlouho na přikrajovacím stole), je možné použít „rekonstituční“ roztok pro změkčení a rehydrataci tkáně.
• Umístěte vzorek do velkého objemu vámi vybraného rekonstitučního roztoku (viz tabulka 6 v dodatcích) a nechte vhodnou dobu působit. Užitečné může být občasné jemné míchání. U malých vzorků může stačit působení po dobu jedné až dvou hodin. U velkých vzorků je možné, že bude potřeba použít roztok po dobu 12 až 48 hodin.
• Jemný pohmat (palpace) vzorku vám může pomoci určit, kdy je změkčení dokončeno.
• Vzorek zpracovávejte ve vhodné fázi a v závislosti na druhu použitého činidla. Pokud je činidlo na bázi alkoholu, přeskočte formalinový krok a začněte rovnou s dehydratací. Použijte plán zpracování vzorku, který byste původně považovali za vhodný.
Vzorky zobrazené na obrázku 27A byly sušeny v digestoři po dobu jednoho týdne po fixaci. Poté byly rekonstituovány ponořením do neutrálního pufrovaného formalínu po dobu 24 hodin (obrázek 27B). Všimněte si nabobtnání vzorku, ke kterému došlo v důsledku rehydratace.

Obrázek 27A: Vzorek po vyschnutí.

Obrázek 27B: Vzorek po rekonstituci.
ŘEŠENÍ 7B: VZORKY, KTERÉ JIŽ V PARAFÍNU ZPRACOVÁNY BYLY
Zdůvodnění: Pokud vzorek během zpracování vyschl, ale skončil v parafínu, bude nutné vosk před použitím rekonstitučního roztoku odstranit.
• Pomocí činidel čisticího cyklu, nejlépe xylenu, nikoli Waxsolu, a bez jakéhokoli kroku sušení rozpusťte vosk a vezměte tkáň zpět přes alkohol do vody14. Ošetřete rekonstitučním roztokem, jako je roztok uhličitanu sodného18, formol-glycerol15, nebo alkohol-glycerol10 (viz dodatky, tabulka 6).
• Poté vzorek znovu zpracujte podle plánu, který byste původně považovali pro vzorek za správný.
ŘEŠENÍ 8: U DEHYDRATOVANÝCH A VYČIŠTĚNÝCH VZORKŮ SE ŠPATNOU INFILTRACÍ PARAFÍNEM
Zdůvodnění: V některých případech mohou být vzorky neúmyslně odstraněny z parafínové lázně procesoru před dokončením infiltrace parafínem nebo mohla být v protokolu použita neadekvátní doba infiltrace. Dehydratace vzorku a jeho čištění jsou ale kompletní, takže lze použít následující postup.
• Vložte kazety zpět do parafínové lázně, úplně je roztavte a pomocí vakua jim dejte alespoň dva další parafínové kroky po dobu alespoň tak dlouhou, jak by to bylo zpočátku vhodné. Znovu zalijte a krájejte.
ŘEŠENÍ 9: PRO SPRÁVNĚ ZAFIXOVANÉ, ALE NEÚPLNĚ ZPRACOVANÉ VZORKY
Každá z těchto metod zahrnuje použití vašeho tkáňového procesoru. Je velmi důležité, aby při potížích s vaším přístrojem došlo k jeho korekci a aby byla kontaminovaná činidla před přepracováním vzorku vyměněna. Přepracování vzorku, je-li správně provedeno, by mělo umožnit získání soudržných řezů tam, kde by to dříve nebylo možné. Výsledek však nikdy nebude tak dobrý jako ten, kterého by bylo dosaženo, kdyby bylo na prvním místě použito optimální zpracování.
ŘEŠENÍ 9A: PŘEPRACOVÁNÍ SOLNÝM ROZTOKEM (TAGGARTOVA METODA19)
Zdůvodnění: U této metody se přebytečný parafín odstraní před přepracováním vzorku, a sice horkým fyziologickým roztokem. Fyziologický roztok jemně rehydratuje tkáň, která je poté zpracována normálně. Fyziologický roztok je netoxické činidlo, které lze bezpečně použít v otevřené laboratoři.
• Před opětovným zpracováním roztavte každý blok, jemně odstraňte přebytečný parafín a vložte vzorky do nově označené kazety. Tento postup zlepší přístup zpracovatelských činidel ke vzorku tkáně během přepracování.
• Vložte kazety do kádinky s izotonickým fyziologickým roztokem (vodný roztok 0,9% chloridu sodného) do inkubátoru na jednu hodinu (jedna hodina je dostačující pro celou řadu typů a velikostí vzorků). Tento postup roztaví parafín, který vystoupá na hladinu fyziologického roztoku.
• Vyjměte kazety ze solného roztoku, krátce je nechte okapat a vložte do svého tkáňového procesoru, kde nechte proběhnout protokol, který byste pro tento typ vzorku použili za normálních okolností.
Mikrofotografie na obrázku 28 ukazují, čeho lze dosáhnout přepracováním pomocí řešení 9A (Taggartova metoda). Aby byl tento velký vzorek podkožního tuku optimálně zpracován, vyžadoval by za normálních okolností 8hodinový protokol. Vzorek byl záměrně zpracován špatně, a to jen ve dvouhodinovém nedostatečném cyklu. Mikrofotografie A ukazuje nejlepší část, kterou lze po tomto nedostatečném protokolu získat. Mikrofotografie B byla pořízena po přepracování za použití fyziologického roztoku k odstranění vosku a rehydrataci, jak je popsáno výše, následované 8hodinovým protokolem a znovuukrojením vzorku. Ačkoli je nyní řez soudržný a na přijatelné úrovni, lepší výsledek by byl dosažen, kdyby byl použit správný protokol již na počátku.

Obrázek 28A: Vzorek tuku před přepracováním (po příliš krátkém protokolu).

Obrázek 28B: Vzorek tuku po přepracování.
ŘEŠENÍ 9B: PŘEPRACOVÁNÍ VZORKU POMOCÍ ČISTICÍHO CYKLU TKÁŇOVÉHO PROCESORU NEBO JEHO MODIFIKACE13,14
Zdůvodnění: Jedná se o pohodlnou metodu, při které se pomocí čisticích činidel odstraňuje parafín ze vzorku a tkáň se vrací zpět do alkoholu. Je to potenciálně tvrdší metoda než 9A nebo 9C.
• Před opětovným zpracováním roztavte každý blok, poté jemně odstraňte přebytečný parafín a vložte vzorky do nově označené kazety. Tento postup zlepší přístup činidel do vzorku tkáně.
• Vložte kazety do tkáňového procesoru.
• Spusťte cyklus čištění (výplachu) procesoru nebo jeho modifikaci, která používá čisticí činidla (viz tabulka 2). Je lepší používat spíše xylen než Waxsol, protože je ke vzorkům jemnější. Program v procesoru zpracuje vzorky zpět přes xylen do alkoholu. Je důležité nedovolit tkáni vstoupit do fáze sušení, která by mohla být součástí čisticího cyklu (to j například případ standardního protokolu u procesoru PELORIS „Quick Clean“). Před dosažením této fáze (sušení) by bylo nutné program přerušit. Z tohoto důvodu je rozumné nahrát do vašeho procesoru zcela nový protokol, například ten co uvádíme níže v tabulce 2.
Tabulka 2: Protokol rychlého přepracování pro tkáňový procesor PELORIS s použitím čisticích činidel.
| Číslo kroku | typ reagencie | čas (min.) | teplota (°C) | P/V | úroveň míchání | doba odkapu (sec.) |
| 1 | čisticí rozpouštědlo | 12 | 65 | Amb | Vysoká | 10 |
| 2 | čisticí ethanol | 6 | 55 | Amb | Vysoká | 10 |
Čas všech kroků: 18 min.
Celková doba zpracování : 22 min.
Nyní by měly být vzorky připraveny v alkoholu k jejich přepracování.
• Vzorky přepracujte z formalínu nebo alkoholu pomocí protokolu, který by měl přiměřenou délku a byl by původně použitý pro zpracování vzorků. To vše bude záviset na velikosti a povaze vzorku. Možná bude efektivnější počkat se vzorky ve formalínu a proces přepracování spustit až s dalšími vzorky, aby byl tkáňový procesor plně vytížen.
Mikrofotografie na obrázku 29 ukazují, čeho lze dosáhnout opětovným zpracováním pomocí řešení 9B (činidla pro čistý cyklus). Aby byl tento velký vzorek podkožního tuku optimálně zpracován, vyžadoval by za normálních okolností 8hodinový protokol. Záměrně byl vzorek zpracován jen ve dvouhodinovém cyklu. Obrázek 29A ukazuje nejlepší část, kterou lze získat po tomto nedostatečném protokolu.
Obrázek 29B byl pořízen po přepracování pomocí krátkého modifikovaného čisticího cyklu (popsaného výše v tabulce 2), po kterém následuje 8hodinový cyklus, který měl být použit u tohoto vzorku již na začátku. Ačkoli je nyní sekce soudržná a na přijatelné úrovni, lepšího výsledku by se samozřejmě dosáhlo, kdyby byl správný protokol použit již poprvé.

Obrázek 29A: Špatný vzorek tukové tkáně před přepracováním.

Obrázek 29B: Tuková tkáň po přepracování vzorku.
ŘEŠENÍ 9C: PŘÍMÉ PŘEPRACOVÁNÍ13
Zdůvodnění: Tato metoda nevyžaduje žádnou předúpravu před opětovným zpracováním. Části vzorku, které byly adekvátně zpracované, jsou zpočátku infiltrované malým množstvím dalšího alkoholu, ale je zajištěno dodatečné čištění a infiltrace parafínem. Špatně zpracované oblasti dostávají další fixaci, dehydrataci, čištění a infiltraci. Potenciální nevýhoda této techniky spočívá v tom, že způsobí určitou parafínovou kontaminaci procesoru a zpracovatelských činidel.
• Před opětovným zpracováním roztavte každý blok, jemně odstraňte přebytečný parafín a vložte vzorky do nově označené kazety. To zlepší prostup reagencií ke tkáni.
• Vložte kazety do tkáňového procesoru.
• Přepracujte vzorky z kroku formalínu nebo alkoholu pomocí protokolu, který by měl přiměřenou délku, pokud by byl použit na vzorky původně. To bude záviset na velikosti a povaze vzorku. Možná bude efektivnější počkat se vzorky ve formalínu a proces přepracování spustit až s dalšími vzorky, aby byl tkáňový procesor plně vytížen.
Mikrofotografie na obrázku 30 ukazují, čeho lze dosáhnout přepracováním pomocí řešení 9C (přímé přepracování). Tento velký vzorek podkožního tuku by za normálních okolností vyžadoval 8hodinový protokol, aby byl optimálně zpracován. Záměrně byl vzorek zpracován jen ve dvouhodinovém cyklu.
Obrázek 30A ukazuje nejlepší část vzorku, kterou lze získat po tomto nedostatečném protokolu.
Obrázek 30B byl pořízen po přímém přepracování (popsaném výše) s 8hodinovým protokolem a následně byl znova krájen. Ačkoli je nyní sekce soudržná a na přijatelné úrovni, lepšího výsledku by se samozřejmě dosáhlo, kdyby byl správný protokol použit již poprvé.

Obrázek 30A: Tuková tkáň před přepracováním.

Obrázek 30B: Vzorek po přepracování.
ŘEŠENÍ 9D: POMALÉ ZPĚTNÉ ZPRACOVÁNÍ
Zdůvodnění: Tato metoda přepracování trvá déle než jiné metody, ale je pravděpodobně nejjemnější a nejdůkladnější ze všech ostatních nabízených možností. Zahrnuje pomalé převádění vzorku zpět přes čisticí prostředek, aby se úplně odstranil veškerý parafín, dále důkladné odstranění čisticího činidla alkoholem a dokončení rehydratace vzorku. Vzorek je poté důkladně zpracován s použitím protokolu, který by byl vhodný v první řadě.
• Před opětovným zpracováním roztavte každý blok, jemně odstraňte přebytečný parafín a vložte vzorky do nově označené kazety. To zlepší prostup reagencií do vzorku.
• Vložte kazety do tkáňového procesoru.
• Spusťte upravený cyklus zpětného zpracování, například ten, který je uveden níže v tabulce 3. Tím se vzorky vrátí zpět skrz xylen nebo Waxsol a několik různých alkoholů. Uvedený protokol níže by byl vhodný pro vzorky velikosti a povahy, které by za normálních okolností úspěšně zpracoval protokol trvající šest až osm hodin. Protokol by měl být zkrácen v případě menších vzorků.
Tabulka 3: Protokol reverzního zpracování pro tkáňový procesor PELORIS
| Číslo kroku | typ reagencie | čas (min.) | teplota (°C) | P/V | úroveň míchání | Doba odkapu (sec.) |
| 1 | čistící rozpouštědlo | 60 | laboratorní | laboratorní | vysoká | 10 |
| 2 | čistící rozpouštědlo | 60 | laboratorní | laboratorní | vysoká | 10 |
| 3 | čistící ethanol | 60 | laboratorní | laboratorní | vysoká | 10 |
| 4 | čistící ethanol | 60 | laboratorní | laboratorní | vysoká | 10 |
Čas všech kroků: 240 min.
Celková doba zpracování: 248 min.
Před opětovným zpracováním se vzorky 15 minut oplachují 70% ethanolem.
• Nyní vzorky přepracujte z formalínu nebo alkoholu pomocí protokolu, který by měl přiměřenou délku a byl by původně použitý pro zpracování vzorků. To vše bude záviset na velikosti a povaze vzorku. Možná bude efektivnější počkat se vzorky ve formalínu a proces přepracování spustit až s dalšími vzorky, aby byl tkáňový procesor plně vytížen.
Mikrofotografie na obrázku 31 ukazují, čeho lze dosáhnout přepracováním pomocí řešení 9D (pomalé zpětné zpracování). Tento velký vzorek vepřových jater by za normálních okolností vyžadoval optimální zpracování 8 hodinového protokolu. Záměrně byl vzorek zpracován jen ve dvouhodinovém cyklu.
Obrázek 31A ukazuje nejlepší část, kterou lze získat po tomto nedostatečném protokolu.
Obrázek 31B byl pořízen po přepracování za použití reverzního procesu uvedeného v tabulce 3 výše, následovaným 8 hodinovým protokolem a opětovným krájením. Ačkoli je nyní sekce soudržná a na přijatelné úrovni, zůstává část morfologického poškození způsobeného hrubým nedostatečným zpracováním.

Obrázek 31A: Vzorek jater před opětovným zpracováním.

Obrázek 31B: Játra po přepracování dle postupu uvedeném výše.
ŘEŠENÍ 9E: POMALÉ REVERZNÍ ZPRACOVÁNÍ S REKONSTITUČNÍM KROKEM
Zdůvodnění: Tato metoda sice trvá nejdéle ze všech, má však velký význam v extrémních případech, kdy bylo barvení vzorku negativně ovlivněno kontaminací činidly (například kontaminace vzorků formalínem v parafínu). I když nezvrátí morfologické poškození, které původní zpracování způsobilo, umožní získat alespoň lepší soudržné části a lepší barvení H&E.
Postup je identický s metodou 9D výše, ale zahrnuje krok navíc. Po rehydrataci a před přepracováním jsou vzorky ošetřeny po dobu 2 hodin (případně i přes noc) rekonstitučním činidlem, jako je roztok BOND ER2 (odmaskovací pufr pro IHC pH9), Tris pufr při pH 10,2 nebo jemnějším izotonickým fyziologickým roztokem, případně 10% neutrálním pufrovaným formalínem. Tato činidla dokážou do značné míry obnovit normální eozinofilii tkáně.
• Postupujte jako v bodě 9D výše, dokud vzorek nebude v 70% ethanolu.
• Umístěte do velkého objemu rekonstitučního roztoku při 65 °C po dobu od 2 hodin až případně přes noc, v závislosti na velikosti a povaze vzorku. Malým vzorkům by měla dostačovat laboratorní teplota po dobu pouhých dvou hodin.
• Přepracujte vzorky z formalínu nebo alkoholu pomocí protokolu, který by měl přiměřenou délku, pokud by byl použit původně.
Artefakt zobrazený na obrázku 32A byl vyroben záměrným znečištěním vzorku formalínem těsně před infiltrací voskem. „Modrý odstín“ a „roztavení jader“ jsou v tomto případě přímým důsledkem kontaminace formalínem. Tento účinek lze pozorovat u zcela nedostatečně zpracované tkáně nebo ve vzácných případech jako důsledek poruchy procesoru, kdy formalín vstupuje do retorty během infiltrace parafínem. Obrázek 32B byl získán po přepracování vzorku pomocí pomalého reverzního zpracování v kombinaci s rekonstitučním krokem (BOND Epitope Retrieval Solution 2 pH 9.0), následně byl vzorek přepracován. Přestože morfologické poškození přetrvává, kvalita řezu a barvení se zlepšila.

Obrázek 32A: Část sliznice zasažená kontaminací.

Obrázek 32B: Vzorek sliznice po rekonstituci a přepracování.
ŘEŠENÍ 10: PRO TKÁŇ, KTERÁ BYLA ŠPATNĚ FIXOVÁNA A NEÚPLNĚ ZPRACOVÁNA
Zdůvodnění: Nefixovaná nebo špatně fixovaná tkáň bude zpracováním v tkáňovém procesoru poškozena. Alkohol a vysoké teploty budou mít vlastní fixační účinek, který se bude lišit od účinku formaldehydu. Nefixovaná tkáň je špatně stabilizovaná a náchylnější k vytvrzení a smrštění než správně fixovaný materiál. Špatná fixace v kombinaci s nedostatečným zpracováním proto představuje hlavní problém. Citlivé přepracování, které zahrnuje některé další opravy, je pravděpodobně nejlepším kompromisem. Následující metoda je založena na tzv. Taggartově metodě19, která je jednou z nejjemnějších technik, které zde popisujeme.
• Před opětovným zpracováním roztavte každý blok, jemně odstraňte přebytečný parafín a vložte vzorky do nově označené kazety. Tento postup zlepší prostup jednotlivých činidel ke vzorku.
• Vložte kazety se vzorky do kádinky s izotonickým fyziologickým roztokem (vodný roztok 0,9% chloridu sodného). Poté vložte kádinku do inkubátoru na jednu hodinu19 při 65 °C. Tento postup roztaví parafín, který vystoupá na hladinu fyziologického roztoku.
• Vyjměte kazety ze solného roztoku a vložte je do 10% neutrálního pufrovaného formalínu. Mělo by se brát na zřetel, že vzorky mohou být již částečně fixovány formalínem a alkoholy použitými již dříve v procesu. Dodatečná fixace formalínem ale může poskytnout určitou výhodu. Tento krok lze provést i na vašem tkáňovém procesoru.
• Po lázni s formalínem přepracujte vzorky dle standardního protokolu zvoleného v závislosti na velikosti a charakteru vzorku.
Artefakt zobrazený na obrázku 33A (slinivka břišní) byl způsoben záměrnou nedostatečnou fixací vzorku a nedostatečným zpracováním. Blok bylo velmi obtížné krájet, přičemž zcela chyběla centrální oblast. Neporušené oblasti tkáně vykazovaly velmi špatnou buněčnou morfologii, kde jádra postrádala detail („jaderné roztavení“) a měla jasně modrý mlhavý vzhled („modrý odstín“). Cytoplazmatická textura byla špatná a okraje buněk byly špatně definované. Buňky vypadají, jako kdyby byly oteklé.
Obrázek 33B byl získán ze vzorku po opětovném zpracování podle techniky uvedené v řešení 10 (Taggartovou metodou s doplňkovou fixací). Ačkoli je morfologie lepší než ta, která byla vidět v původních částech a „modrý odstín“ byl částečně odstraněn, zůstávají přítomny praskliny a smrštění. Výsledek není tak dobrý, jaký by mohl být, kdyby byla tkáň hned poprvé dobře zafixovaná a následně procesovaná.

Obrázek 33A: Slinivka břišní vykazující artefakty po špatné fixaci a zpracování vzorku.

Obrázek 33B: Slinivka pro přepracování Taggartovou metodou popsanou v řešení 10.
ČÁST 4: Hlavní příčiny problémů se zpracováním vzorku a jejich prevence
Hlavní příčina problémů se zpracováním vzorků a jejich prevence
Vážný problém nastane, jsou-li pracovníci laboratoře konfrontováni se vzorkem nebo šarží vzorků, z nichž nelze získat uspokojivé řezy. To může oddálit histopatologický nález nebo v nejhorším případě zabránit stanovení diagnózy.
Tato situace vytváří značný tlak na to, abychom něco změnili a rychle napravili. Krátkodobá „oprava“ může zahrnovat použití některých „triků“ za účelem získání sekcí ze špatně zpracovaného bloku, nebo se v případě neúspěchu této opravy může stát, že bude nutné vzorek znovu kompletně přepracovat.
Na základě okolností je nutné se po zvážení rozhodnout, kterou z akcí bude nejlepší pro daný případ zvolit.
Stává se, že pokud v laboratoři nastane problém se špatně zpracovatelnými vzorky, je tzv. „obviňován procesor“. Procesory určitě někdy selhávají, ale zkušenost nám říká, že existují i možnosti, kdy je problém se vzorky výsledkem lidské chyby. Ať už je příčina problému jakákoli, je třeba provést důkladné a objektivní posouzení, aby se zabránilo jakékoli tendenci dospět k neodůvodněnému závěru o příčině.
Unáhlené závěry
V příkladu zobrazeném na obrázku 34 pracovníci laboratoře hledali pomoc v domnění, že mají problém s tkáňovým procesorem. Několik řezů z várky endoskopických biopsií vykázalo oblasti se špatnou jadernou konzervací. To, co vypadalo jako „jaderné roztavení“, což je naznačeno šipkami na obrázku 34A, po pečlivém prozkoumání sousedních řezů na stejném sklíčku (obrázek 34B) ukázalo, že problém nebyl způsoben zpracováním, nýbrž neúplným odstraněním parafínu před barvením. To byl důsledek kontaminovaného xylenu v barvícím automatu. V tomto případě by prvotní důkladnější posouzení problému zabránilo značnému stresu zaměstnanců. Podrobnější diskusi o „roztavení jader“najdete v části 2, problém 15.

Obrázek 34A: Částečné artefakty v morfologii vzorku endoskopické biopsie.

Obrázek 34B: Stejná oblast v jiném řezu.
Kromě řešení bezprostředního problému, kterému laboratoř čelí, je nezbytné odhalit příčinu a provést vhodné změny, aby se zabránilo opětovnému výskytu stejných chyb.
Vyšetřování vzniklého problému by mělo být provedeno co nejdříve. Pokud jste procesor nenastavovali a nespouštěli vy osobně, budete si muset promluvit s těmi, kteří to udělali a nejlépe co nejdříve, dokud jsou vzpomínky ještě živé. Pokud se jeví jako pravděpodobné, že byl problém způsoben chybou hardwaru nebo softwaru procesoru, měla by být co nejdříve vyhledána podpora od dodavatele přístroje. Pokud jsou k dispozici protokoly daného běhu v tkáňovém procesoru, mohou poskytnout cenné informace o tom, co se stalo.
Účinky a některé příčiny špatného zpracování jsou popsány v následující části.
Účinky špatného zpracování
Špatné zpracování vzorku má jak makro, tak mikro účinky na tkáňový blok.
MAKRO EFEKTY NA VZOREK
Obtížně získatelné řezy
• Blok má špatnou strukturu (příliš tvrdý, křehký nebo měkký)
• Blok není jednotný (vnitřní a vnější části tkáně jsou odlišné)
• Blok není soudržný (samostatné součásti)
• Řezy se komprimují (s tkání není správně zacházeno)
• Špatný sériový řez (řezy se snadno oddělí od sebe)
Problematické napínání na vodní lázni
• Řezy se jakoby potí (na řezech jsou průsvitné nebo„ mokré “oblasti)
• Řezy se na vodní lázni oddělují (mohou dokonce„ explodovat “)
• Řezy nelze srovnat (i když je blok studený)
Kvalita tkáňových bloků se při skladování zhoršuje
• Vzorky tkáně se v bloku smršťují (v důsledku odpařování rozpouštědla)
• Bloky obsahují neprůhledné skvrny (kvůli přítomnosti vody)
MIKRO EFEKTY NA VZOREK
Špatná fyzická kvalita řezů
• Části tkáně jsou narušeny (chybějící oblasti)
• Řezy špatně drží na podložních sklech (tzv. plavání řezů)
• Řezy jsou popraskané (hrubé a jemné praskliny)
• Řezy mají nerovnoměrnou tloušťku (v rámci jednoho řezu)
Špatná morfologie
• Špatný jaderný detail (diskuse o „jaderném tavení“ viz část 2)1
• Špatné cytoplazmatické detaily
• Mohou být narušeny některé speciální funkce (např. bazální membrány)
• Vláknité prvky jsou špatně fixované (kolagen, retikulin, elastin)
• Nejednotnost v celém vzorku (okraje vzorku jsou rozdílné od středu)
• Špatné zabarvení vzorku
• Barvení není rovnoměrné v celém vzorku
• Jaderné barvení je špatné1 („roztavení jader“ nebo „přítomnost modrého odstínu“ – další informace viz část 2)
• Cytoplazmatické zbarvení je špatné
• Extracelulární komponenty jsou špatně průkazné
Příčiny špatného zpracování
Nejběžnější příčiny nekvalitních bloků jsou:
Tkáň nebyla před zpracováním správně zafixována (příliš krátká doba fixace, příliš velký vzorek, špatně nachystaný vzorek, atd.). Pracovníci laboratoře mají bohužel pouze omezenou kontrolu nad počátečními fázemi fixace chirurgických vzorků. Obvykle je možné provést optimalizaci fixace až poté, co vzorky dorazí do laboratoře. To je zvláště důležité u velkých vzorků, které je třeba rozřezat nebo správně přikrojit, aby byl umožněn přístup fixačního prostředku do všech oblastí tkáně. Po přikrojení vzorků lze během prvního kroku zpracování použít další fixaci. To může být velmi užitečné. Je třeba si uvědomit, že tkáň, která je zpočátku neúplně fixována formalínem, bude během zpracování dále fixována ethanolem. To může způsobit „zonální“ fixaci a posléze neuspokojivou morfologii.
Vzorky jsou pro vybraný protokol příliš velké. To může být problém v případě, kdy nezkušený personál přikrajuje vzorky, zejména s hustými tkáněmi, jako je děloha. Během doby naprogramované pro fáze zpracování nemají rozpouštědla dost dlouhou dobu na to, aby pronikla do středu vzorku, což znamená, že infiltrace parafínem nebude úplná a blok bude obtížné dále krájet. Nejlepších výsledků se dosáhne z řezů tkáně o tloušťce 3 až 4 mm.
Tkáň je pro vybraný protokol příliš hustá. Některé tkáně jsou díky své hustotě velmi pomalu infiltrovány fixačními a zpracovatelskými činidly. Fibro-svalová tkáň, odvápněná kost a chrupavka, keratin a nehet nebo chitin – to jsou všechno příklady hustých tkání, a i když jsou nakrájené na tenké plátky, může trvat déle, než fixativum a ostatní činidla proniknou do většiny tkáně.
Tkáň je pro vybraný protokol příliš mastná (obsahuje mnoho tuku). Velké vzorky prsu nebo kožní excize obsahující velké podkožní plochy tuku vyžadují delší protokoly. To proto, že tuk je bariérou dehydratace. Pokud ve vzorku zůstane voda, vede to k neúplnému projasnění tkáně a ke špatné infiltraci parafínu. V tomto případě je lepší v protokolu použít isopropanol než ethanol. Pro vzorky s vysokým obsahem tuku je třeba použít protokoly s delšími časy, aby bylo dosaženo optimálního výsledku dehydratace a projasnění.
Tkáň obsahuje usazeniny vápníku, které nebyly odstraněny předchozím odvápněním, nebo cizí tělesa, stehy, svorky, syntetické štěpy, atd. Problém je v tom, že ať už použijeme jakýkoliv protokol, do usazenin vápníku a většiny cizích těles zpracovatelská činidla neproniknou. Proto nejsou tkáně správně prosyceny parafínem a v dalším kroku jdou krájet jen velmi špatně. Malá množství vápníku lze odstranit povrchovým odvápněním (viz řešení 6), pokud jsou ale přítomna velká množství, může být nutné zpětné zpracování tkáně přes vodu a s následným kompletním odvápněním. To by mohl být případ, kdyby byla kost, která nebyla odvápněna, neúmyslně zahrnuta do normálního zpracování tkáně. U jiných cizích těles může být nutné je fyzicky odebrat ze vzorku před zpracováním nebo z povrchu bloku, aby bylo řezy vůbec možné získat (to vše je vhodné konzultovat s patologem).
Protokol byl příliš krátký a vzorky proto:
• Nejsou správně zafixovány
• Nebo nejsou správně dehydratovány
• Nebo nejsou správně vyčištěny
• Nebo nejsou plně infiltrovány voskem
• Nebo kombinace výše uvedeného
Tento problém se nejčastěji objeví, když se ve stejné dávce zpracovává směs malých a velkých vzorků. Zatímco protokol může vyhovovat většině vzorků, největší nebo nejhustší tkáně nemusí být plně a správně zpracovány. Také se to děje, když jsou zavedeny kratší protokoly ve snaze zkrátit dobu zpracování. Zkracovat protokoly bez ohledu na velikost vzorku nebo jeho typ není vhodným postupem. Další vysvětlení viz níže „Kompromisy při zpracování“.
Protokol byl příliš dlouhý, takže jemné nebo drobné vzorky byly:
• Vystaveny příliš dlouho dehydratujícím činidlům
• Nebo byly vystaveny dehydratantům s vysokou koncentrací příliš brzy (zvláště špatně fixovaná tkáň)
• Nebo byly příliš dlouho vystaveny čisticím činidlům
• Nebo byly příliš dlouho vystaveny horkému parafínu
• Nebo byly příliš dlouho vystaveny vysokým teplotám
• případně kombinace výše uvedeného
Nadměrné zpracování je běžným problémem u malých vzorků obsahujících konkrétní typy tkání, jako je tkáň žlázového epitelu (např. v endoskopických biopsiích), krvetvorné a lymfatické tkáně. Stejně, jako v bodě 6 výše, je tento problém nejčastěji vidět, když je směs malých a velkých vzorků zpracovávaná při stejném běhu a protokolu. Přebytečným zpracováním vzorky křehnou a je velmi obtížné je v dalším kroku krájet. Další vysvětlení viz níže „Kompromisy při zpracování“.
Protokol byl nesprávně proporcionální (nesprávně nastavené jednotlivé kroky protokolu) pro různé typy vzorků, které se zpracovávají (např. tkáně hlodavců obvykle vyžadují jiný poměr trvání kroků ve srovnání s lidskými tkáněmi). Celková doba trvání protokolu se může jevit jako uspokojivá, ale čas v jednotlivých fázích může být nevhodný. Některé příklady jsou:
• Nedostatečná dehydratace vzorku před jeho vyčištěním. To v praxi znamená, že vzorek bude stále obsahovat vodu a nikdy nebude zcela čirý ani dostatečně infiltrovaný ostatními činidly, a to bez ohledu na to, jak dlouho zůstane v čistícím činidle nebo parafínu.
• Nadměrná dehydratace před čištěním vzorku může vést k odstranění vázané (molekulární) vody ze vzorku. V náchylných tkáních, jako je tkáň sliznice střeva, to může vést ke vzniku velmi křehkých bloků27.
• Nedostatečné vyčištění vzorku před infiltrací parafínem může znamenat, že tkáň nebude řádně infiltrována parafínem kvůli zbývajícímu alkoholu, a to bude způsobovat problém při zalévání vzorku (vzorek se bude z bloku snadněji vylamovat).
• Nadměrné vyčištění vzorku před impregnací parafínem může způsobit křehnutí tkáně. Opět jde především o jemné epiteliální tkáně, které budou s největší pravděpodobností postiženy.
• Nedostatečný čas v parafínu bude znamenat, že čisticí činidlo nebude v dalším kroku parafínem ze vzorku zcela vytěsněno. Parafín smíchaný s čirým činidlem nebude správně tvrdnout, a to bude způsobovat potíže v dalších krocích – zalévání vzorku a krájení vzorku. Také poté během skladování budou mít tkáně tendenci se v bloku smršťovat, což je důsledek odpařování přebytečného čistícího činidla.
• Nadměrný čas v parafínu může u citlivých vzorků způsobit nadměrnou tvrdost, křehkost a smrštění.
Standardní doporučené protokoly pro tkáňový procesor PELORIS v rozsahu od jedné do dvanácti hodin používají následující podíly celkového času kroku pro dehydrataci, čištění a infiltraci parafínem (viz tabulka 4). Tyto protokoly byly ověřeny rozsáhlým testováním. Doporučené protokoly pro ostatní procesory se řídí podobným vzorem. Krokový čas pro fixaci není do výpočtů zahrnut, protože se bude v jednotlivých laboratořích značně lišit v závislosti na jejich konkrétních požadavcích.
Problém s programováním nebo načítáním procesoru, například:
• Nesprávný protokol vybraný z již uložených protokolů v tkáňovém procesoru. Toto je běžný důvod pro přepracování vzorků a je způsoben lidskou chybou. Velké vzorky zpracované rychlým dvouhodinovým programem místo osmihodinového protokolu určitě nebudou dostatečně zpracovány. Tyto vzorku bude nutné přepracovat. Naopak drobné vzorky obvykle zpracovávané dvouhodinovým protokolem budou zmenšené a křehké, pokud budou zpracovávány po dobu osmi až dvanácti hodin. V tomto případě vše, co lze udělat, je použít řadu „triků“ k získání alespoň nějakých řezů.
• Koše přeplněné kazetami. K tomu pravděpodobně dojde, když jsou kazety náhodně umístěny do košů bez stojanů a nejsou během zpracování zcela ponořeny do zpracovatelských činidel. Obvykle je ovlivněno pouze několik kazet na samém vrcholu koše. Nesprávné úrovně naplnění v retortě procesoru mohou mít podobný efekt. Účinek na tkáně bude záviset na tom, která činidla se nedostala do kontaktu se vzorky.
• Kazety přeplněné tkáněmi. To může být v některých laboratořích běžným problémem, obvykle kvůli nezkušenosti zaměstnanců při přikrajování vzorků. Cirkulace tekutin v kazetách zaplněných tkáněmi je omezena a bude mít za následek špatné zpracování vzorků. Kromě toho mohou účinky místního tlaku, způsobené vyčnívajícími částmi víka kazety, narušit morfologii v částech tkáně.
• Použité nevhodné kazety. Konstrukce kazet je důležitá a ovlivňuje kvalitu zpracování. Je zásadní, aby kazeta bezpečně uzavřela veškerou tkáň, včetně malých fragmentů, a umožnila neomezený přístup zpracovatelských činidel.
Protože na trhu existuje mnoho různých dodavatelů kazet, kazety by měly být pečlivě vybírány s ohledem na tuto skutečnost. Kazety s jemnými perforacemi, tkáňové zábaly nebo pěnové bioptické vložky se běžně používají pro malé vzorky a každá svým způsobem omezuje tok tekutiny a mírně zvyšuje množství přenosu tekutiny z jednoho činidla do druhého. Toto je třeba zohlednit při výběru vhodného protokolu zpracování a kompenzaci zvýšeného přenosu při výměně reagencií.
Tabulka 4: Hlavní kroky zpracování a jejich podíl z celkového času kroku (kromě fixace).
Protokol Etanol/Xylen:
| Krok | Reagencie | Podíl na protokolu |
| dehydratace | Etanol v různých ředění | 40% |
| čištění | Xylen | 30% |
| infiltrace | parafín | 30% |
Protokol Xylen-Free:
| Krok | Reagencie | Podíl na protokolu |
| dehydratace | Etanol v různých ředění a jeho směs s isopropanolem | 35% |
| čištění | Isopropanol | 30% |
| infiltrace | parafín | 35% |
Problém s údržbou procesoru, jako například:
• Nedostatečné školení zaměstnanců. Je životně důležité, aby byli všichni zaměstnanci, kteří pracují s procesorem a zabývají se běžnou údržbou, plně proškoleni a rozuměli důvodům, proč jsou jednotlivé postupy prováděny, a důsledkům odchýlení se od nich.
• Použití nesprávného činidla při výměně rozpouštědel. Pokud byl například omylem použit 70% ethanol k doplnění nádoby, která by měla obsahovat absolutní ethanol, může váš procesor použít toto činidlo jako závěrečný krok dehydratace. To by znamenalo, že dehydratace by nebyla úplná a výsledné zpracování tkáně by bylo neúplné. Tento problém může být obtížné identifikovatelný.
• Výměna nádob na rozpouštědlo ve špatném pořadí. To může přinést podobné problémy jako ty popsané výše. Je důležité si uvědomit, že i když může být nádoba naplněna správným činidlem a přesně označena, pokud není na správném místě v procesoru, přístroj to nezjistí a může dojít k chybnému zpracování.
• Používání silně kontaminovaných reagencií, která měla být již dávno vyměněna (ignorování upozornění na prahovou hodnotu). Pokaždé, když se vzorek ponoří do činidla, jsou reakční činidla kontaminována tkáňovou tekutinou, lipidy a fixačním činidlem, které se vyluhují ze vzorků. Reagencie jsou také přenášeny samotnými vzorky, kazetami, kazetovými koši, bioptickými polštářky, obaly a komponenty samotné retorty pokaždé, když je retorta vypuštěna a znovu naplněna. Je nezbytné mít zavedený režim pro výměnu kontaminovaných činidel pro zpracování. Použití kontaminovaných činidel může vést k neúplné dehydrataci, vyčištění nebo infiltraci, a tudíž i k chybnému zpracování vzorků. Výrobci procesorů dávají doporučení ohledně toho, kdy by měla být reagencie vyměňována, na základě počtu zpracovaných košů, počtu zpracovaných kazet, podílu kazet obsahujících bioptické vložky atd. Tato doporučení by měla spolu se zkušenostmi zaměstnanců vést k zavedení postupů, které by měly být pečlivě dodržovány.
• Použití recyklovaných reagencií neuspokojivé kvality. Kvalita zpracovatelských činidel je důležitá. Existuje určitá míra, do jaké lze některá činidla recyklovat a je nutné pravidelně přidávat čerstvé činidlo. Je třeba pečlivě dodržovat pokyny poskytované dodavateli komerčních „recyklátorů“.
• Spuštění vyplachovacího (čistícího) cyklu před odebráním vzorků. Pokud v retortě procesoru nechtěně zůstane koš s kazetami a vosk je vypuštěn a byl zahájen proplachovací (čisticí) cyklus, budou vzorky ponořeny do horkého prostředku pro odstraňování vosku a mohou případně projít i alkoholem a sušením podle toho, kdy byla chyba zjištěna. Bude nutné opětovné zpracování vzorku a je třeba pečlivě zvážit, jaký je nejlepší výchozí bod.
Porucha tkáňového procesoru, která vedla k:
• Ponechání vzorků na vzduchu po delší dobu, což umožňuje jejich vysušení. Toto by mohlo v kombinaci s ohřevem retorty způsobit problém. Nicméně, u většiny přepouštěcích procesorů trvá vyschnutí vzorků uvnitř uzavřené retorty značnou dobu. Vysušení vzorků je mnohem pravděpodobnějším problémem u starších tkáňových procesorů, tzv. karuselových.
• Vzorky ponořené do konkrétního činidla po příliš dlouhou dobu (například absolutní ethanol, xylen nebo parafín). To může mít vážné následky, zejména u malých choulostivých vzorků. Tento postup vede k nadměrnému zpracování vzorků a k extrémně křehkým blokům. Pokud se jedná o horká činidla, může být problém opravdu vážný.
• Vzorky vystavené nadměrnému teplu. To je nepravděpodobná událost, protože moderní procesory jsou vybaveny bezpečnostními termostaty, které by měly chránit před přehřátím. Pokud jsou vzorky vystaveny velmi vysokým teplotám, mohou se nenapravitelně poškodit.
• Vzorky vkládané do kontaminovaných činidel (jako je parafín kontaminovaný formalínem). Existují zprávy o vadných ventilech, které způsobují kontaminaci parafínu čisticími činidly21. Důsledky kontaminace formalínem jsou demonstrovány na řešení 9E (část 3). Nejzávažnější následky mají kontaminace parafínu čisticími činidly (xylen a isopropanol).
Přepracováním vzorků lze docílit „řezatelných“ bloků z poškozených vzorků, které byly kontaminovány činidly. Některá morfologická poškození však zůstanou.
Kompromisy při zpracování vzorku
Mohu zpracovávat malé i velké vzorky ve stejném běhu zpracování a očekávat optimální výsledky? Jaký je vliv celkové délky protokolu zpracování na kvalitu zpracování?
Graf zobrazený na obrázku 35 ukazuje kompromis, ke kterému dochází, když proces zpracování v tkáňovém procesoru obsahuje směs velmi malých a velmi velkých vzorků. Představuje hypotetické zpracování tří velmi odlišných vzorků. Zobrazené výsledky jsou založeny na zkušenostech pisatele a některých laboratorních testech. Zde je důležitý základní princip, nikoli konkrétní výsledky.
„Arbitrary quality scale“ (libovolná stupnice kvality) představuje celkovou kvalitu zpracování, která je dosažitelná, když je konkrétní vzorek zpracován pomocí protokolu o konkrétní celkové době trvání („processsing time in hours“ – doba zpracování v hodinách). V tomto modelu jsme předpokládali, že je tkáň správně zafixována a protokoly zpracování jsou správně proporcionální. Zahrnuli jsme řadu protokolů zpracování s trváním od jedné do dvanácti hodin. „Kvalita zpracování“ je vyjádřena pomocí skóre mezi jednotkou a stovkou. Tato hodnota se vypočítá při pohledu na všechny „makro“ a „mikro“ účinky špatného zpracování28 popsané v části 4 – Účinky špatného zpracování. Žlutá čára zobrazená na skóre 50 je okamžik, kdy se zpracování stane přijatelným. Skóre 80 až 90 představuje vysoce kvalitní zpracování.
Pro ilustraci problému byly vybrány velmi odlišné vzorky. 2 mm endoskopická biopsie, která je drobná a křehká, může poskytnout nejlepší výsledky při zpracování pomocí protokolů v délce trvání od jedné do tří hodin, zatímco vzorek myokardu o tloušťce 3 mm může poskytnout nejlepší výsledky při trvání mezi čtyřmi a sedmi hodinami. Děložní čípek o tloušťce 5 mm, což je velmi hustá fibro-svalová tkáň, může vyžadovat zpracování od osmi do dvanácti hodin, aby se dosáhlo dobrých výsledků.
Graf ukazuje, že 3,5hodinový protokol by přinesl přijatelné výsledky, pokud by byly ve stejném běhu zpracovány vzorky endoskopické biopsie a myokardu, zatímco 7,5hodinový plán by přinesl přijatelné výsledky, pokud by byl společně zpracováván myokard a děložní čípek. Tento model také naznačuje, že by nebylo možné najít kompromisní plán, který by vedl k přijatelnému zpracování, pokud by byly endoskopická biopsie a vzorky děložního čípku zpracovávány ve stejném běhu.
Mějte na paměti, že se jedná o hypotetický model. Různé procesory a různá reakční činidla by vytvářely křivky, které by se lišily v detailech. Je však jasně ukázán problém přístupu „univerzální protokol pro všechny“ při zpracování tkáně. Není možné zpracovat velmi malé, jemné vzorky a velké robustní vzorky pomocí stejného protokolu zpracování a získat optimální výsledky pro oba.
Obrázek 35

ČÁST 5
Validace: Jak ověřit metodu přepracování vzorků
Jak ověřit metodu přepracování
Doporučení obsažená v této publikaci mají obecnou povahu a vycházejí z omezeného testování a zkušeností v terénu. Doporučuje se, aby si každá laboratoř validovala metody přepracování pro sebe za podmínek a s vybavením, které platí v jejich konkrétní laboratoři. Je velmi užitečné mít k dispozici ověřenou metodu, pokud je potřeba regenerovat tkáně a zajistit jejich přepracování.
Navrhovaný postup pro validaci:
K otestování metod přepracování vzorků popsaných v této publikaci byla použita následující metoda. Je jasná a jednoduchá a mohla by být použita v jakékoli laboratoři, která chce ověřit tuto metodu pro své vlastní použití.
- Vyberte několik typů vzorků pro testování. Měly by to být náročné tkáně, které by podle vašich zkušeností mohly být ovlivněny špatným zpracováním. Dobrými příklady jsou velké vzorky tukové tkáně prsu nebo děložní čípek. Tkáň je dobré získat z nediagnostických částí přebytečné tkáně. Aby byly výsledky reprodukovatelné a testování srovnatelné, je nejlepší použít důkladně fixovanou tkáň.
- Rozhodněte se o časovém protokolu zpracování, který byste normálně použili pro vybrané typy vzorků a připravte si tkáňové bloky přesných rozměrů, o kterých si budete jisti, že budou odpovídajícím způsobem zpracovány tímto protokolem. Můžete si například připravit bloky děložního čípku o rozměrech 15 x 10 x 4 mm, které byste normálně zpracovali v osmihodinovém cyklu.
- Nedostatečně zpracovávejte své vzorky pomocí protokolu, o kterém víte, že je příliš krátký, a poté je zalévejte běžným způsobem. Například můžete zpracovat bloky děložního čípku pomocí výše uvedeného dvouhodinového cyklu.
- Potvrďte si, že vaše vzorky jsou neuspokojivé, a to pokusem ukrojit pěkné soudržné řezy.
- Použijte metodu přepracování, kterou chcete ověřit. Jako výchozí bod metody přepracování použijte protokol se stejnou dobou trvání, jaký byste normálně použili pro vzorky tohoto typu a velikosti. Například u výše popsaných vzorků z děložního čípku byste je reverzně zpracovali pomocí dané metody, kdy nejdříve odparafínujete a rehydratujete vzorky, a poté byste postupovali dle osmihodinového cyklu pro finální fázi přepracování.
- Znovu zkuste ukrojit bloky a ověřte, že přepracování proběhlo úspěšně.
- Po ukrojení přepracovaných vzorků řezy obarvěte standardní barvící metodou a zkontrolujte, zda přepracování proběhlo úspěšně. IHC a ISH je třeba vzít v úvahu zejména při použití rekonstitučních kroků.
- Ukáže-li se být vhodná, zapište svou metodu jako standardní operační postup.
ČÁST 6
Dodatky
Schémata rozhodování o přepracování
Protože existuje mnoho možných příčin bloků špatné kvality, je třeba při rozhodování o nejlepším postupu dodržovat logický postup akce. K dispozici jsou tři rozhodovací stromy.
Rozhodovací strom 1 se zabývá vzorky, které byly před zpracováním nedostatečně ošetřeny. Pokrývá špatně fixované vzorky a ty, které obsahují vápenaté oblasti neodstranitelné vhodnou dekalcifikací. Nepravděpodobná situace, kdy vzorky před nebo během zpracování zcela vyschnou, je řešena v rozhodovacím stromu 3.
Rozhodovací strom 2 pokrývá situaci, kdy s procesorem nebo zpracovatelskými činidly nebylo nic špatného, ale byl ke zpracování vzorků použit nevhodný plán.
Rozhodovací strom 3 se zabývá poruchami procesoru a problémy s činidly.
Varování: Rozhodnutí o přepracování tkání by mělo být učiněno až po velmi pečlivém zvážení, protože v některých situacích může přepracování situaci zhoršit, nikoli zlepšit.



Tabulka 5: Změkčovací kapaliny pro použití na čele bloku |
|||
| Metoda | Složení | Aplikace | Zdroj |
| Ledová voda | Čistá voda | Umístěte povrch řezaného bloku na několik minut na tající led nebo do misky s ledovou vodou (4 °C), poté znovu krájejte. | Anderson10, Carson27, Culling21, Drury a Wallington6 |
| Baker | 60% ethanol 90 ml, | Umístěte povrch řezaného bloku na několik minut do roztoku, opláchněte vodou, znovu ochlaďte a krájejte. | Gray11 |
| Glycerol 10 ml | |||
| Carleton | 0,2% Teepol (nebo jiné smáčedlo) ve vodě | Umístěte povrch řezaného bloku na několik minut do roztoku, opláchněte vodou, znovu ochlaďte a krájejte. | Drury a Wallington6 |
| Goodwin | 5 dílů ethanolu, | Doporučeno pro dekalcifikované kosti nebo husté fibrózní tkáně. Autor uvádí, že namáčení přes noc nebo déle nepoškozuje bloky. | Goodwin29 |
| 5 dílů glycerolu, | |||
| 1 díl Teepolu | |||
| Aviváž | Prášková aviváž 5 ml, | Umístěte blok lícem dolů do roztoku. Nechte působit po dobu 5-10 minut. Můžete také otřít líc bloku před každým jednotlivým řezem. | WebPath20 |
| Destilovaná voda 100 ml. | |||
| Dobře promíchejte, uschovejte v označené nádobě. Stabilní 2 měsíce. | |||
| Molliflex | Voda, ethanol, methanol, aceton, glycerol, 4-hexylresorcinol | Umístěte povrch řezaného bloku na několik minut do Molliflexu, opláchněte vodou, znovu ochlaďte a krájejte. | Culling21, Gray11, MSDS30 |
| Hydroxid draselný | 10% vodný roztok KOH | Může být použit ke změkčení nehtů a hustého keratinu po fixaci formalínem před zpracováním, a také na parafínové bloky. Umístěte blok lícem dolů do roztoku. Nechte několik minut působit, důkladně opláchněte vodou, znovu ochlaďte a krájejte. | Winsor22 |
| Fenol | 4% vodný roztok fenolu | Umístěte blok lícem dolů do roztoku. Nechte několik minut působit, opláchněte vodou, znovu ochlaďte a krájejte. | Winsor22 |
| Změkčovadlo amoniak/Tween | Směs stejných objemů 5% vodného roztoku amoniaku a 5% vodného roztoku Tweenu80 | Umístěte blok lícem dolů do roztoku. Nechte několik minut působit, opláchněte vodou, znovu ochlaďte a krájejte. | Dorevitch Pathology (Melbourne) |
| Nair nebo Veet (odstraňovače chloupků) | Thioglykoláty, které rozbíjejí disulfidové vazby v keratinu | Pokryjte líc bloku krémem. Nechte několik minut působit, opláchněte vodou, znovu ochlaďte a krájejte. | Winsor22 |
Tabulka 6: Rekonstituční, obnovovací a změkčovací látky pro použití na vzorky |
|||
| Metoda | Složení | Aplikace | Zdroj |
| Mekota (použito pro rekonstituci mumifikovaných tkání) | 80 ml 0,2% aviváže v 5% uhličitanu sodném; 20 ml 4% formaldehydu (10% formalínu) | Ponoření přes noc následované 24hodinovou fixací formalínem, následuje normální zpracování. | Mekota24 |
| Baker (lze použít během zpracování nebo aplikovat na krájený povrch bloku) | 90 ml 60% ethanolu | Nechteblok máčet, dokud tkáň nezměkne (1 až 24 hodin), následně normálně zpracujte. | Gray11 |
| 10 ml glycerolu | |||
| Anderson a Gordon (pro obnovení tkání vysušených během zpracování) | 70 ml 70% ethanolu | Nechte tkáň máčet po dobu několika hodin, obvykle přes noc, poté se zpracovává z dehydratačního stupně obvyklým způsobem. | Bancroft a Stevens10 |
| 30 ml glycerolu | |||
| 1 g dithioničitanu | |||
| Sandison (změkčení dehydratovaných, vysušených, křehkých nebo neobvykle tvrdých nebo mumifikovaných hrubých tkáních) | 30 ml 96% ethanolu, | Nechte tkáň máčet po dobu 12 až 18 hodin, poté se zpracovává z dehydratačního stupně obvyklým způsobem. | Thompson18 |
| 50 ml 1% vodného formalínu, | |||
| 20 ml 5% vodného roztoku uhličitanu sodného | |||
| Luna (změkčení tkání vysušených před a po fixaci – včetně vysušených mrtvých tkání; a špatně zpracovaných tkání) | Zásobní roztok formol-octan sodný: 10 ml formalínu (38% formaldehyd), 2 g octanu sodného, 90 ml vody. | Nechte máčet dokud tkáň nezměkne (obvykle 5 až 8 hodin). Delší expozice nepoškozuje tkáň. Zpracujte obvyklým způsobem. | Luna15 |
| Pracovní roztok formol-glycerol: 90 ml zás. roztoku formol-octan sodný, 10 ml glycerolu | |||
| Epitopy zpřístupňující roztok (BOND Epitope Retrieval Solution 2) nebo Tris pufr | ER roztok pH 9 ředěný dle doporučení nebo Tris-HCl pufr pH 9 | Nechte namáčet tkáň po dobu 1 až 12 hodin v závislosti na velikosti, typu a stavu vzorku. Inkubace při 65 °C může urychlit působení těchto látek. | Wright31, 32 |
| Isotonický fyziologický roztok | 0,85% vodný roztok chloridu sodného | Nechte namáčet tkáň po dobu 1 až 12 hodin v závislosti na velikosti, typu a stavu vzorku. Inkubace při 65 °C může urychlit působení těchto látek. | |
| Neutrální pufrovaný formalín | 10% formalín ve fosfátovém pufru pH 7.4 | Nechte namáčet tkáň po dobu 1 až 12 hodin v závislosti na velikosti, typu a stavu vzorku. | |
ČÁST 7
Literatura
1. Rolls GO, Farmer NJ, Hall JB. Artifacts in Histological and Cytological Preparations. 1st ed. Melbourne: Leica Biosystems, 2008.
2. Luna LG. Questions in search of an answer (Question 4). HistoLogic 1988;XVIII;16.
3. Dayman ME. Response to questions in search of an answer. HistoLogic 1989;XIX;56 – 57.
4. Grizzle WE. The effect of tissue processing variables other than fixation on histochemical staining and immunohistochemical detection of antigens. The Journal of Histotechnology 2001;24;213-219.
5. Wynnchuk M. An Artifact of H&E Staining: The Problem and Its Solution. The Journal of Histotechnology 1990;13;193-198.
6. Drury RAB, Wallington EA. Carleton’s Histological Technique. 5th ed. Oxford: Oxford University Press, 1980.
7. Faolain EO, Hunter MB, Byrne JM et al. Raman spectroscopic evaluation of efficacy of current paraffin wax section dewaxing agents. Journal of Histochemistry and Cytochemistry 2005;53;121-129.
8. Disbrey BD, Rack JH. Dehydration and clearing. Histological Laboratory Methods. Edinburgh: E. & S. Livingstone, 1970;43.
9. Clapp TR, Mellen PF. Rapid “Reprocessing” of Poorly Prepared Fatty Tissues. The Journal of Histotechnology 1998;21;65.
10. Anderson G, Gordon KC. Tissue processing, microtomy and paraffin sections. In Bancroft JD and Stevens A eds. Theory and Practice of Histological Techniques. New York: Churchill Livingstone, 1996;57.
11. Gray SJ. Practice of microtomy. Essentials of Microtomy. London: Butterworths, 1972;72.
12. Humason G. Paraffin sectioning and mounting. Animal Tissue Techniques. San Francisco: W H Freeman and Company, 1972;61.
13. Johnson ml. A technique for correcting poorly processed paraffin blocks. Histologic 2003;XXXVI;21-22.
14. Lefebvre G. Reprocessing tissue blocks. Histologic 2001;XXXIV;42.
15. Luna LG. Method for reprocessing dried tissue specimens. Histologic 1978;VIII;111.
16. Mondragon G. Facts about alcohol dehydration of tissue samples. Histologic 2006;XXXIX;23.
17. Staples TC. Rehydration of biopsy specimens to facilitate sectioning. Histologic 1996;XXVI.
18. Thompson SW. Preparation of microscopic tissue sections. Selected Histochemical and Histopathological Methods. Springfield: Charles C Thomas, 1966;137-138.
19. Taggart G. Taggart’s reprocessing technique. Sydney: Email to G Rolls, August 6, 2008.
20. WebPath: Internet Pathology Laboratory. Downy: Block softening solution. The University of Utah Eccles Health Sciences Library 2008; http://library.med.utah.edu/WebPath/webpath.html; January 19, 2009
21. Culling CFA, Allison RT, Barr WT. Cellular Pathology Technique. 4th ed. London: Butterworths, 1985.
22. Winsor L. Tissue Processing. In Woods AE and Ellis RC eds. Laboratory Histopathology. New York: Churchill Livingstone, 1994;4.2-37.
23. Leica. Paraffin Tape Transfer System. MyNeuroLab.com, 2009; http://www.myneurolab.com/myneurolab/Products/ ProductList.aspx/Histology+Products/Paraffin+Tape+Transfer+System/4/232;
24. Mekota AM, Grupe G, Zimmerman MR, Vermehren M. First identification of an ancient Egyptian mummified human placenta. International Journal of Osteoarchaeology 2005;15;51-60.
25. Ciranni R, Castagna M, Fornaciari G. Goiter in an eighteenth-century Sicilian mummy. American Journal of Physical Anthropology 1999;108;427-432.
26. Verbov JL. Mummified skin – an exercise in preservation. International Journal of Dermatology 1983;22;46-60.
27. Carson FL. Histotechnology: A self-instructional text. 2nd ed. Chicago: ASCP Press, 1997.
28. Rolls GO, Farmer NJ, Tarbet F. Assessing the Quality of Tissue Processing and the Performance of PELORIS using the Leica Biosystems Scoring System. Scientia Educational Materials and White Papers, 2005.
29. Goodwin JR. Strict serial sectioning with particular reference to bone and dense fibrous tissue. Histologic 1981;XI 1-2.
30. EMD Chemicals Inc. MollifexMaterial Safety Data Sheet. 2008; http://www.emdchemicals.com/analytics/doc/msds/ MSDSU_65039.htm; Janurary 19, 2009
31. Wright KR. Research Antigen Retrieval Solution (Letter to the Editor). The Journal of Histotechnology 1994;17;81.
32. BioGenix. Data Sheet: H&E Retrieval Solution Cat No HK168-5K. San Ramon, Ca: BioGenix, 2004.
(Převzato od společnosti Leica Biosystems, redakčně upraveno.)